cry1Ab13基因玉米新种质的创制

    Creation of new transgenic maize germplasm harboring cry1Ab13 gene

    • 摘要:
      目的 构建包含抗鳞翅目害虫基因cry1Ab13的重组植物表达载体,并利用其创制对玉米螟Ostrinia furnacalis具有优良抗性的转基因玉米Zea may L.新种质。
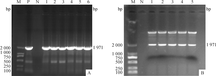
      方法 利用同源重组法将cry1Ab13基因连接到表达载体pCAMBIA3300-Bar上,获得以抗除草剂 Bar 基因为筛选标记的植物表达载体pCAMBIA3300-cry1Ab13-Bar。通过农杆菌介导法转化玉米自交系H99幼胚,对再生植株进行逐代除草剂筛选、PCR检测及T2代植株的Southern blotting检测、实时荧光定量PCR检测,并对转基因植株进行田间及室内抗虫性鉴定。
      结果 构建了cry1Ab13基因的植物表达载体,转化玉米获得3株高抗玉米螟和1株抗玉米螟的T2代转基因植株。Southern blotting证明cry1Ab13基因已经整合到玉米基因组中,实时荧光定量PCR结果表明cry1Ab13基因已经在玉米植株内表达。抗虫性鉴定结果表明,与对照相比转基因植株对玉米螟的抗性显著提高。
      结论 将cry1Ab13基因导入玉米并成功表达,显著提高了转基因玉米对玉米螟的抗性,为抗虫玉米新种质的创制奠定了基础。

       

      Abstract:
      Objective To construct a plant expression vector including a lepidopteran-resistant gene cry1Ab13 and use it to create a new transgenic maize germplasm with high resistance to Ostrinia furnacalis.
      Method The cry1Ab13 gene was inserted into expression plasmid pCAMBIA3300-Bar by homologous recombination method, and the plant expression vector pCAMBIA3300-cry1Ab13-Bar with Bar gene as a selection marker was obtained. Following Agrobacterium mediated transformation of the immature embryo of maize inbred line H99, the regenerated plants were detected by PCR and herbicide-resistance selection for each generation. T2 generation plants were also detected by Southern blotting and real-time quantitative PCR. The resistance of transgenic plants to O. furnacalis was tested indoor and in the fields.
      Result A plant expression vector containing the cry1Ab13 gene was successfully constructed and three T2 transgenic maize with high resistance and one T2 transgenic maize with resistance to O. furnacalis were obtained. The cry1Ab13 gene was integrated into maize genome as confirmed by Southern blotting, and it was expressed in maize as shown by real-time quantitative PCR.The resistance of transgenic plants to O. furnacalis was improved significantly compared to non-transgenic control.
      Conclusion We introduced the cry1Ab13 gene into maize and its expression significantly improved the resistance of maize to O. furnacalis, which will promote the development of new insect-resistant maize germplasm.

       

    /

    返回文章
    返回