TRIF敲除NA与BHK-21细胞系的构建及对狂犬病病毒增殖效率的影响

    Construction of TRIF-knockout NA and BHK-21 cell lines and effect on rabies virus proliferation efficiency

    • 摘要:
      目的 通过CRISPR/Cas9技术构建β干扰素TIR结构域衔接蛋白(TIR-domain-containing adaptor-inducing interferon β,TRIF)基因敲除小鼠NA细胞系与仓鼠BHK-21细胞系,评估狂犬病病毒(Rabies virus,RABV)在敲除细胞系中的增殖能力,探究TRIF在RABV感染过程中的功能。
      方法 首先,设计单向导RNA(Single guide RNA,sgRNA),构建用于TRIF基因敲除的重组质粒pSpCas9-NA-TRIF-KO和pSpCas9-BHK-21-TRIF-KO,将重组质粒转染野生型NA与BHK-21细胞,通过嘌呤霉素初步筛选阳性细胞,并使用有限稀释法获得单细胞亚克隆。随后,对筛选的细胞扩大培养,并通过PCR扩增、测序以及Western blot鉴定,最终筛选TRIF敲除NA与BHK-21细胞系。最后,将RABV标准攻击毒株CVS-11与疫苗毒株BNSP-SAD分别接种TRIF敲除细胞系与野生型细胞系,通过Western blot检测病毒N蛋白的表达水平,并利用TCID50检测病毒滴度,以评估RABV在不同细胞系中的增殖能力。
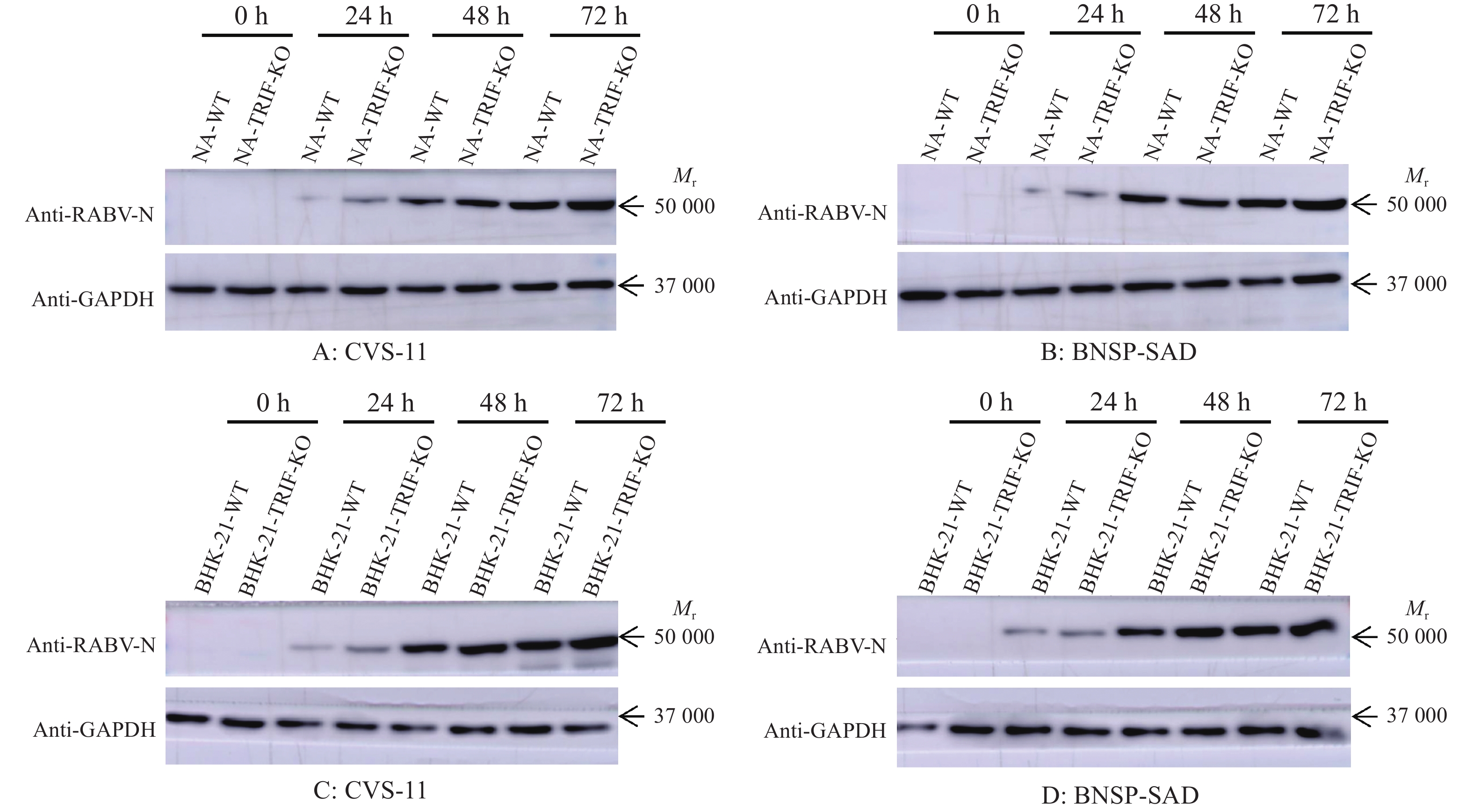
      结果 成功构建了用于TRIF基因敲除的重组质粒pSpCas9-NA-TRIF-KO与pSpCas9-BHK-21-TRIF-KO,并筛选鉴定出TRIF基因敲除NA细胞系与BHK-21细胞系。与野生型细胞系相比,2种TRIF敲除细胞系接种RABV CVS-11与BNSP-SAD后,N蛋白的表达量均在感染24 h后明显升高,病毒滴度同样均在感染24 h后显著上升。
      结论 相较于野生型细胞系,RABV在TRIF基因敲除细胞系中的增殖能力更优,TRIF可能具有抑制病毒复制的能力。研究结果为深入研究TRIF功能提供了有力支持,也为RABV的培养与研究提供了新的细胞模型。

       

      Abstract:
      Objective To construct TIR-domain-containing adaptor-inducing interferon β (TRIF) gene knockout mouse NA cell line and hamster BHK-21 cell line using CRISPR/Cas9 technology, evaluate the proliferative capacity of rabies virus (RABV) in these knockout cell lines, and investigate TRIF function during RABV infection.
      Method  First, single guide RNA (sgRNA) was designed, and recombinant plasmids pSpCas9-NA-TRIF-KO and pSpCas9-BHK-21-TRIF-KO were constructed for TRIF gene knockout. After plasmid transfection, positive cells were preliminarily screened using puromycin followed by single-cell subclone isolation through limited dilution. The expanded cell populations were subsequently validated by PCR amplification, sequencing, and Western blot identification, TRIF-knockout NA and BHK-21 cell lines were established. Standard challenge strain CVS-11 and vaccine strain BNSP-SAD of RABV were then inoculated into both knockout and wild-type cells. Viral N protein expression levels were detected by Western blot, and viral titers were determined through TCID50 assay to evaluate rabies virus proliferation efficiency in different cell lines.
      Result The recombinant plasmids pSpCas9-NA-TRIF-KO and pSpCas9-BHK-21-TRIF-KO for TRIF-knockout were successfully constructed, the TRIF-knockout NA and BHK-21 cell lines were screened and identified. Compared with the wild-type cell line, the expressions of N proteins in two TRIF-knockout cell lines inoculated with RABV CVS-11 and BNSP-SAD were obviously elevated after 24 h infection, and the virus titer significantly increased after 24 h infection.
      Conclusion RABV has superior proliferation capacity in TRIF-knockout cell lines compared to wild-type counterparts, and TRIF may have the ability to inhibit viral replication. The findings not only provide substantial support for further investigation of TRIF function, but also establish novel cellular models for RABV cultivation and research.

       

    /

    返回文章
    返回