表达副猪格拉瑟菌GAPDH和OmP26的重组猪霍乱沙门氏菌构建及免疫学评价

    Construction and immunological evaluation of recombinant Salmonella choleraesuis expressing GAPDH and OmP26 of Glaesserella parasuis

    • 摘要:
      目的 构建能同时表达副猪格拉瑟菌Glaesserella parasuis关键抗原GAPDH和OmP26的重组猪霍乱沙门氏菌Salmonella choleraesuis,并评估其作为二联疫苗候选株的潜力,以期为预防G. parasuisS. choleraesuis感染提供一种新型高效的解决方法。
      方法 选取多种血清型的G. parasuis中广泛存在的抗原GAPDH和OmP26作为外源抗原,以S. choleraesuis C500Δasd缺失株为载体,构建同时表达GAPDH和OmP26的G. parasuis-S. choleraesuis重组菌株,并对其生物学特性和免疫效果展开研究。
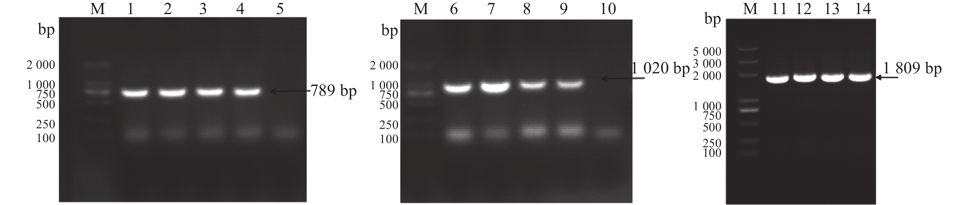
      结果 PCR与测序结果共同表明,本研究成功构建重组菌株C501(pYA-GAPDH-OmP26),该菌株能稳定携带GAPDHOmP26基因片段(大小分别为1 020和798 bp),在连续传代100次中均能稳定扩增目标片段;且生长曲线、生化特性与对照菌C501(pYA3493)一致。重组菌株C501(pYA-GAPDH-OmP26)对S. choleraesuis C78-1和G. parasuis 5型强毒株SH0165的保护率分别为62.5%和50.0%,而C501(pYA3493)对S. choleraesuis C78-1的保护率为50.0%,对G. parasuis 5型强毒株SH0165则无保护作用。
      结论 重组沙门氏菌C501(pYA-GAPDH-OmP26)能稳定携带异源基因,具有与亲本菌株相近的生物学特性及良好的表达特性,能够诱导机体对G. parasuisS. choleraesuis产生联合免疫反应,为G. parasuis-S. choleraesuis二联基因工程疫苗的研发奠定了基础。

       

      Abstract:
      Objective The objective of this study was to construct a recombinant Salmonella choleraesuis strain co-expressing GAPDH and OmP26, two immunogenic antigens derived from Glaesserella parasuis, evaluate its potential as a bivalent vaccine candidate, and provide a novel and efficacious solution for the prevention of both G. parasuis and S. choleraesuis infections in swine populations.
      Method GAPDH and OmP26, which are widely present in various serotypes of G. parasuis, were selected as exogenous antigens. A recombinant strain of G. parasuis-S. choleraesuis, which was capable of expressing both the GAPDH and OmP26, was constructed by using S. choleraesuis C500Δasd deletion strain as vector. The biological characteristic and immune effect of the recombinant strain were then investigated.
      Result Results of PCR and Sanger-sequencing showed that we successfully constructed the recombinant strain C501 (pYA-GAPDH-OmP26), which was able to stably harbor GAPDH and OmP26 (sizes of 1 020 and 798 bp, respectively) . The target fragments were stably amplified from the strain in 100 consecutive passages, and the recombinant strain was consistent with the parent strain C501(pYA3493) in terms of growth curves and biochemical characteristics. The recombinant strain C501 (pYA-GAPDH-OmP26) showed 62.5% and 50.0% protection rates against S. choleraesuis C78-1 and G. parasuis type 5 strong strain SH0165, respectively, while C501 (pYA3493) showed 50.0% protection rate against S. choleraesuis C78-1 and no protection effect against G. parasuis type 5 strong strain SH0165.
      Conclusion The recombinant S. choleraesuis C501 (pYA-GAPDH-OmP26) can stably carry heterologous genes. Compared with the parent strain, the recombinant strain has similar biological and good expression characteristics, can induce the organism’s combined immune response against G. parasuis and S. choleraesuis. The study lays the foundation for the development of the bivalent genetically engineered vaccine for G. parasuis and S. choleraesuis.

       

    /

    返回文章
    返回