Abstract:
Objective Wx and ALK are two major genes affecting rice eating and cooking quality, and their allelic combinations have different effects on rice taste quality. The aim of this study was to breed rice strains with different Wx and ALK allelic combinations using molecular marker-assisted selection, and meet people’s needs for various tastes and uses.
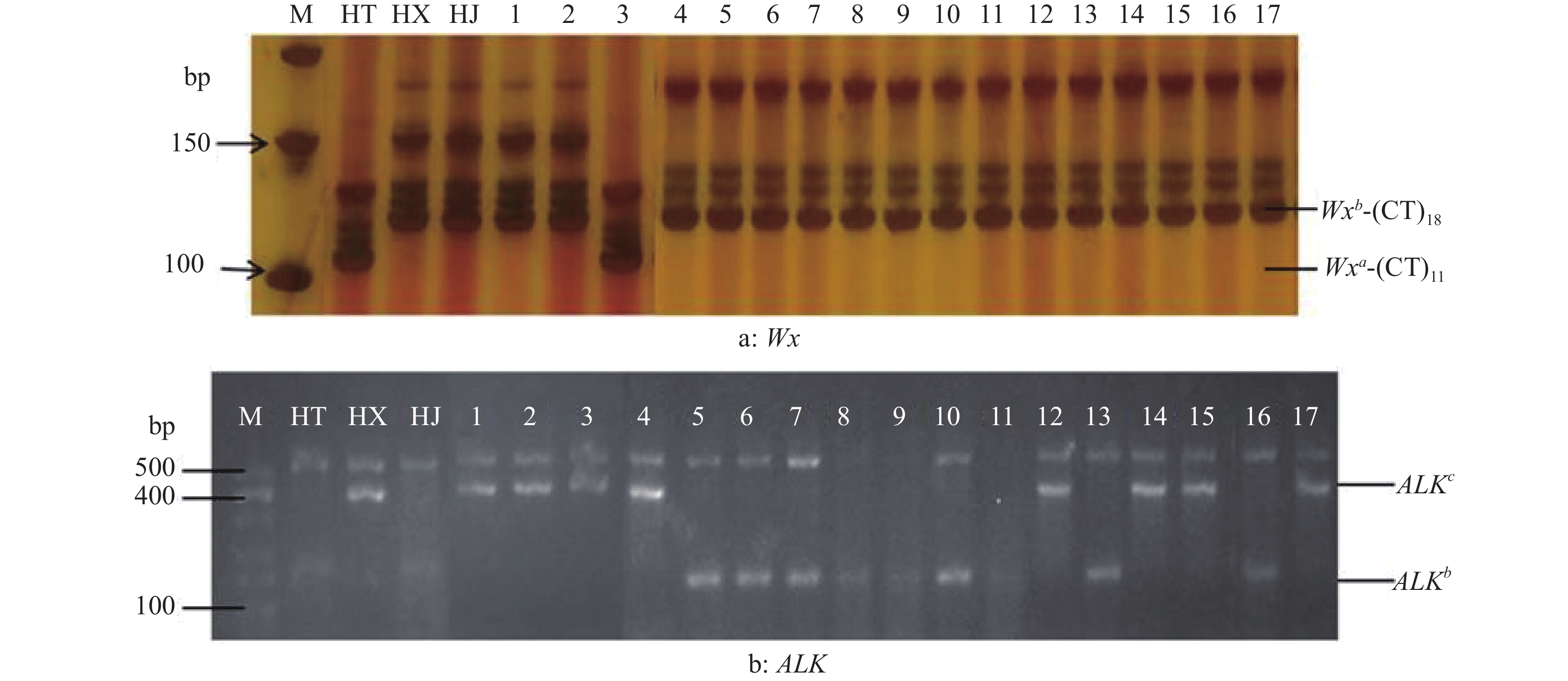
Method ‘Hang Xiangsimiao 3’ was used as the donor parent, and ‘Huahang Tezhan’ and ‘Hang Juxiangsimiao’ were used as the backcross parents respectively, to construct BC1F4 populations. Various Wx and ALK combinations were screened with molecular markers. Meanwhile, the rice quality traits of the candidate strains were analyzed.
Result Three candidate lines were selected from ‘Huahang Tezhan’ backcross progenies, two of which carried
WxbALKc and one carried
WxaALKc. Fourteen candidate lines were selected from ‘Hang Juxiangsimiao’ backcross progenies, five of which carried
WxbALKc and nine carried
WxbALKb. Compared with the strains with
WxbALKb, the strains with
WxbALKc had similar amylose contents, but higher gel consistency and breakdown viscosity, and lower setback viscosity, which made their tastes soft and smooth. One strain with
WxaALKc not only had high amylose content (
\omega 
) of 32.2% but also high gel consistency, which was suitable for special applications such as rice flour processing.
Conclusion Total seventeen rice strains with different combinations of Wx and ALK are screened out and bred using molecular markers. These candidate strains have different eating and cooking qualities, and also have multiple uses, providing germplasm resources for breeding of new rice strains which meet people’s diversified needs for various tastes and uses in the future.