地锦叶斑病菌鉴定及LAMP快速检测体系的建立

    Identification of pathogen causing leaf spot disease of Parthenocissus tricuspidata and establishment of LAMP rapid detection system

    • 摘要:
      目的 明确引起云南玉龙县地锦叶斑病的病原种类,并建立快速检测方法。
      方法 采用组织分离法分离病原菌,并依据科赫氏法则确定地锦叶斑病病原,通过形态学特征及多基因联合构建系统发育树,明确病原菌的分类地位;以病原菌的Alt a1基因序列为靶标设计特异性引物建立环介导等温扩增(Loop-mediated isothermal amplification,LAMP)检测方法。
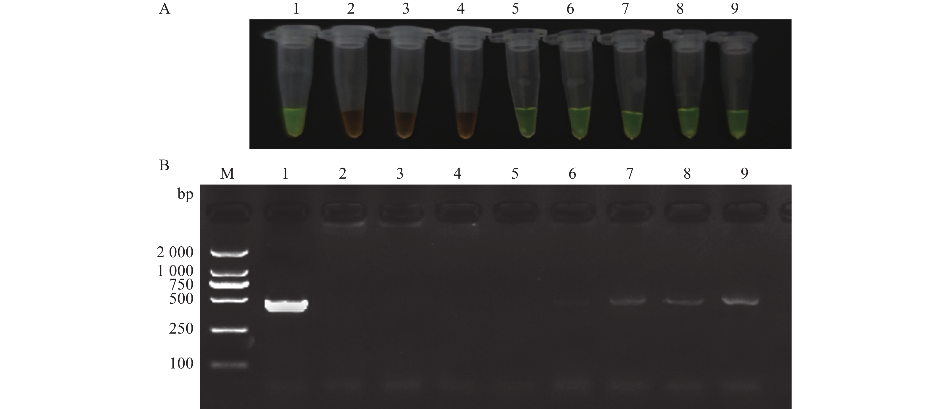
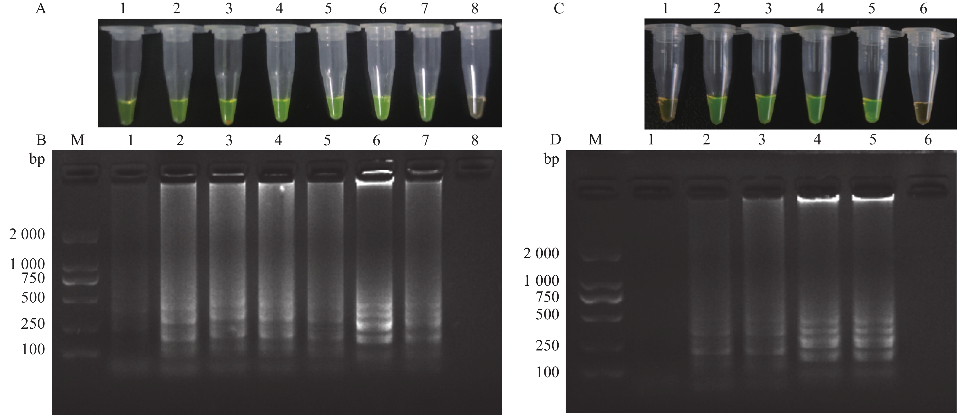
      结果 地锦叶斑病病原菌鉴定为链格孢菌Alternaria alternata。建立的LAMP反应体系可特异有效地检测出地锦叶斑病菌,该体系最佳反应温度为65 ℃、最佳反应时间为50 min、最低检测灵敏度为1 pg/μL。使用该体系对人工接种病原菌不同时间的地锦叶片进行链格孢LAMP检测,检出时间为接种12 h及以上。
      结论 本研究可为地锦叶斑病的早期检测和科学防控提供理论依据。

       

      Abstract:
      Objective To identify the pathogens causing leaf spot disease of Parthenocissus tricuspidata in Yunnan Yulong County, and establish a rapid detection method.
      Method The pathogens were isolated by tissue separation method and verified by Koch’s postulate. Through morphological characteristics and multi-gene joint construction of phylogenetic tree, the taxonomic status of pathogenic bacteria was clarified. A loop-mediated isothermal amplification (LAMP) assay was established by designing specific primers based on the Alt a1 gene sequence of the pathogen.
      Result The pathogen causing P. tricuspidata leaf spot was identified as Alternaria alternata. The established LAMP reaction system could specifically and effectively detect A. alternata. The optimal reaction temperature of the system was 65 ℃, the optimal reaction time was 50 min, and the minimum detection sensitivity was 1 pg/μL. The system was used to detect A. alternata in the leaves of the P. tricuspidata artificially inoculated with pathogens at different time, and the detection time was 12 h or more.
      Conclusion This study provides a theoretical basis for early detection, scientific prevention and control of the leaf spot of P. tricuspidata.

       

    /

    返回文章
    返回