猪等孢球虫顶膜抗原蛋白AMA1的生物信息学分析及原核表达

    Bioinformatics analysis and prokaryotic expression of apical membrane antigen protein AMA1 of Isospora suis

    • 摘要:
      目的 预测分析猪等孢球虫顶膜抗原蛋白AMA1的生物学特性、结构及功能,并构建AMA1基因的原核表达载体,表达、纯化AMA1蛋白。
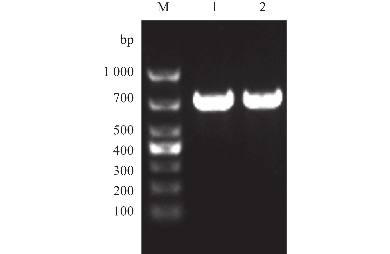
      方法 本研究从NCBI数据库中获得猪等孢球虫AMA1基因序列,使用相关生物信息学预测工具对AMA1基因编码的蛋白进行分析。构建原核表达载体pET23a-AMA1,并将其转入至大肠埃希菌表达菌株BL21 (DE3)中,对诱导时间、温度及IPTG浓度进行优化,确定最佳诱导表达条件。采用镍柱亲和层析法进行蛋白纯化,获得AMA1重组蛋白并进行SDS-PAGE和Western blot鉴定分析。
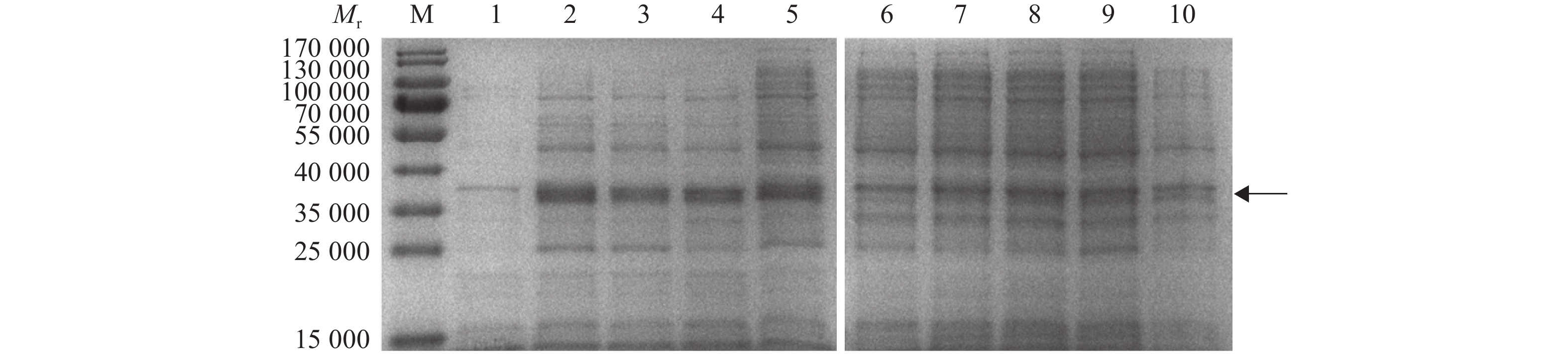
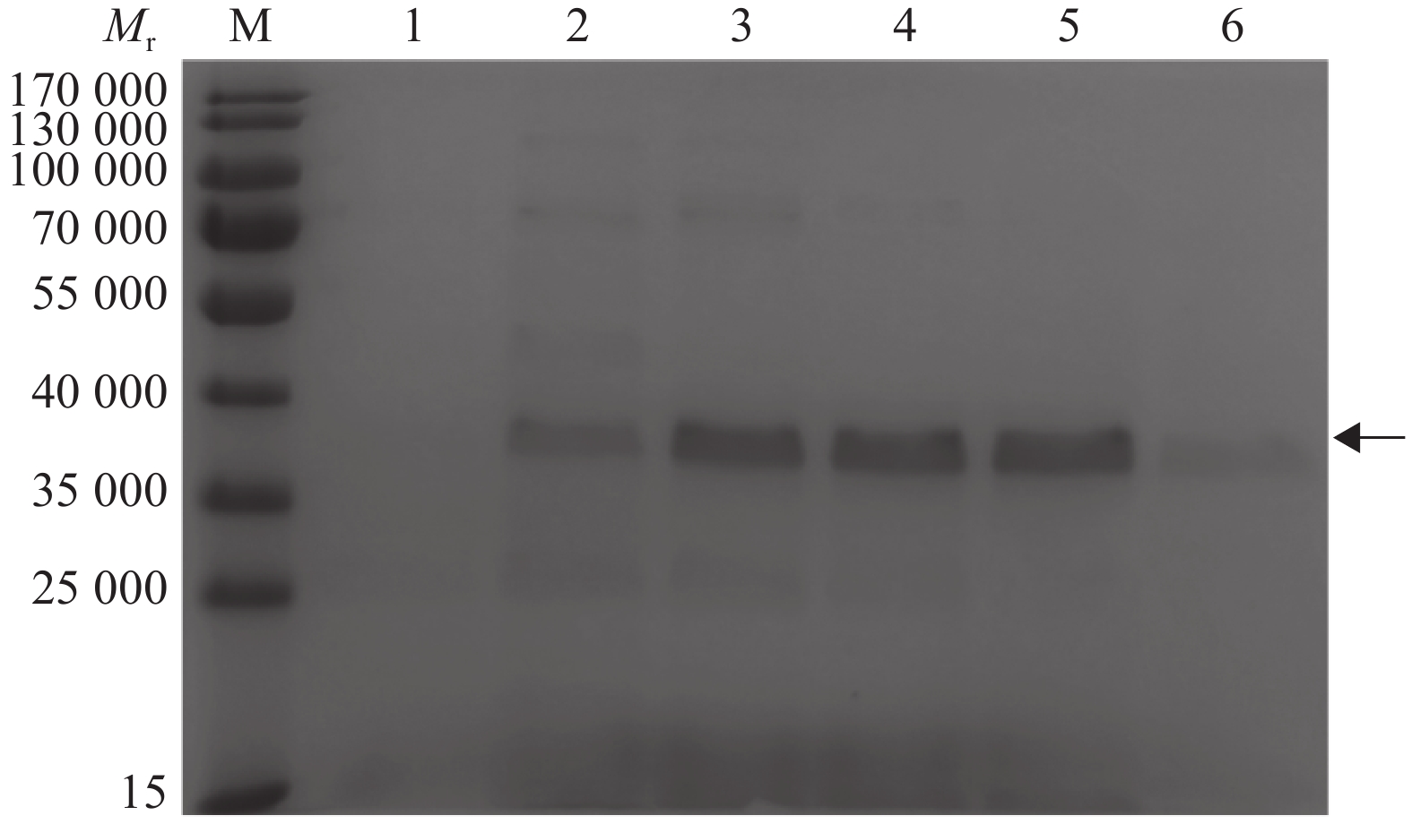
      结果 生物信息学预测显示,AMA1蛋白由317个氨基酸组成,蛋白分子式为C1512H2310N394O490S14,是不稳定的亲水性蛋白;其二级结构α螺旋占17.74%,β折叠占30.65%,转角占30.65%,无规则卷曲占20.96%;属于无信号肽的跨膜蛋白,具有5个B细胞抗原表位。成功构建pET23a-AMA1重组表达质粒,经诱导表达条件优化后,确定最佳诱导表达条件为0.2 mmol/L IPTG浓度下于28 ℃诱导12 h,主要以可溶性蛋白形式存在,蛋白相对分子质量约为25 800,纯化蛋白质量浓度为0.25 mg/mL。
      结论 阐明了猪等孢球虫AMA1蛋白的结构特征,通过原核诱导表达获得了重组蛋白,为建立猪等孢球虫病的免疫学诊断方法奠定了基础,并为后续疫苗的研发提供了新的候选基因。

       

      Abstract:
      Objective  To predict and analyze the biological characteristics, structure and function of the apical membrane antigen 1 (AMA1) in Isospora suis, as well as construct the prokaryotic expression vector of AMA1 gene to express and purify AMA1 protein.
      Method The AMA1 gene sequence of I. suis was obtained from NCBI database, and the protein encoded by AMA1 gene was analyzed using relevant bioinformatics prediction tools. The recombinant prokaryotic expression vector pET23a-AMA1 was constructed and transferred into the expression strain BL21 (DE3) of Escherichia coli. The induction time, temperature and IPTG concentration were optimized to determine the optimal induction expression conditions. The recombinant AMA1 protein was purified by nickel column affinity chromatography and identified by SDS-PAGE and Western blot.
      Result Bioinformatics prediction showed that AMA1 protein was composed of 317 amino acids, and its molecular formula was C1512H2310N394O490S14, which was an unstable hydrophilic protein. The secondary structure prediction of the AMA1 protein yielded a profile consisting of 17.74% α helix, 30.65% β folding, 30.65% rotation, and 20.96% random coil. It was a transmembrane protein without signal peptide and had five B cell epitopes. At the same time, pET23a-AMA1 recombinant expression plasmid was successfully constructed, and the optimal induction expression condition was 0.2 mmol/L IPTG inducing for 12 h at 28 ℃, which mainly existed in the form of soluble protein. The relative molecular mass of recombinant protein was about 25 800, and the mass concentration of purified protein was 0.25 mg/mL.
      Conclusion The results of this study elucidate the structural characteristics of AMA1 protein of I. suis and the recombinant protein is obtained through prokaryotic induction expression, which lays a foundation for the establishment of immunological diagnosis of I. suis and provides a new candidate gene for the development of subsequent vaccines.

       

    /

    返回文章
    返回