Pcgf2促进鸡胚成纤维细胞重编程形成诱导多能干细胞

    Pcgf2 promotes the reprogramming of chicken embryonic fibroblasts into induced pluripotent stem cells

    • 摘要:
      目的 以提高诱导鸡多能干细胞的干性为目的,利用Pcgf2基因与传统诱导多能干细胞的重编程因子共同诱导鸡多能干细胞。
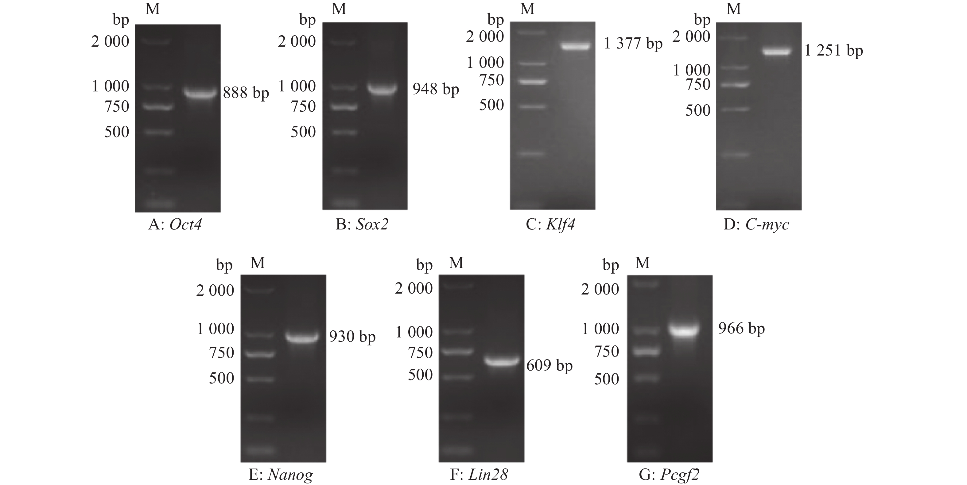
      方法 以鸡早期胚胎为模板,对Oct4Sox2NanogLin28C-mycKlf4这6种传统的重编程因子及Pcgf2进行基因扩增,并与慢病毒载体重组为慢病毒质粒,在包装慢病毒并测定相对应的病毒滴度后,分组感染鸡胚成纤维细胞,在诱导的过程中对干细胞标记物进行检测。
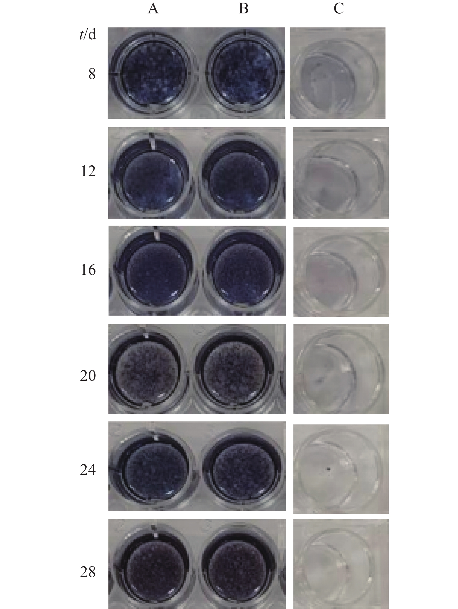
      结果 利用传统的重编程因子组合与加入Pcgf2共同诱导后的细胞都较早地表达出磷酸酶活性。加入Pcgf2诱导多能干细胞可以使细胞更早地出现类干细胞形态,且内源性基因Oct4Sox2NanogLin28的表达得到更稳定的提高。
      结论 Pcgf2在加入诱导体系后可以有效提高细胞的重编程接近干细胞状态。该研究可为选择重编程因子诱导鸡细胞完全重编程及其机制研究提供理论参考。

       

      Abstract:
      Objective We aimed to improve the stemness of chicken induced pluripotent stem cells using the Pcgf2 gene together with conventional reprogramming factors to induce chicken pluripotent stem cells.
      Method Six conventional reprogramming factors including Oct4, Sox2, Nanog, Lin28, C-myc and Klf4 as well as Pcgf2 gene were amplified and reconstituted with lentiviral vectors as lentiviral plasmids using chicken early embryos as templates. After packaging the lentivirus and measuring the corresponding viral titers, chicken embryonic fibroblasts were infected in groups and stem cell markers were assayed during the induction process.
      Result The cells induced by the combination of conventional reprogramming factors and Pcgf2 all expressed phosphatase activity early. Inducing the pluripotent stem cells with Pcgf2 could make the cells appear stem-like morphology earlier, and the expressions of endogenous genes Oct4, Sox2, Nanog and Lin28 increased more stably.
      Conclusion Pcgf2 can effectively enhance the reprogramming of cells to approach the stem cell state after being added to the induction system. The research provides a theoretical reference for the selection of reprogramming factors to induce complete reprogramming of cells in chickens and the mechanism study.

       

    /

    返回文章
    返回