冬春季大口黑鲈溃疡症病原分离鉴定及病理形态学观察

    Pathogen isolation, identification and pathomorphological observation of ulcerative syndrome of largemouth bass in winter and spring

    • 摘要:
      目的 近年来,养殖大口黑鲈Micropterus salmoides在冬春季流行一种体表形成明显溃疡的疫病,本研究旨在明确其病因。
      方法 从眉山东坡区和洪雅县采集病料,采用病原学、病理学和分子生物学相结合的方法对患病鱼进行研究。
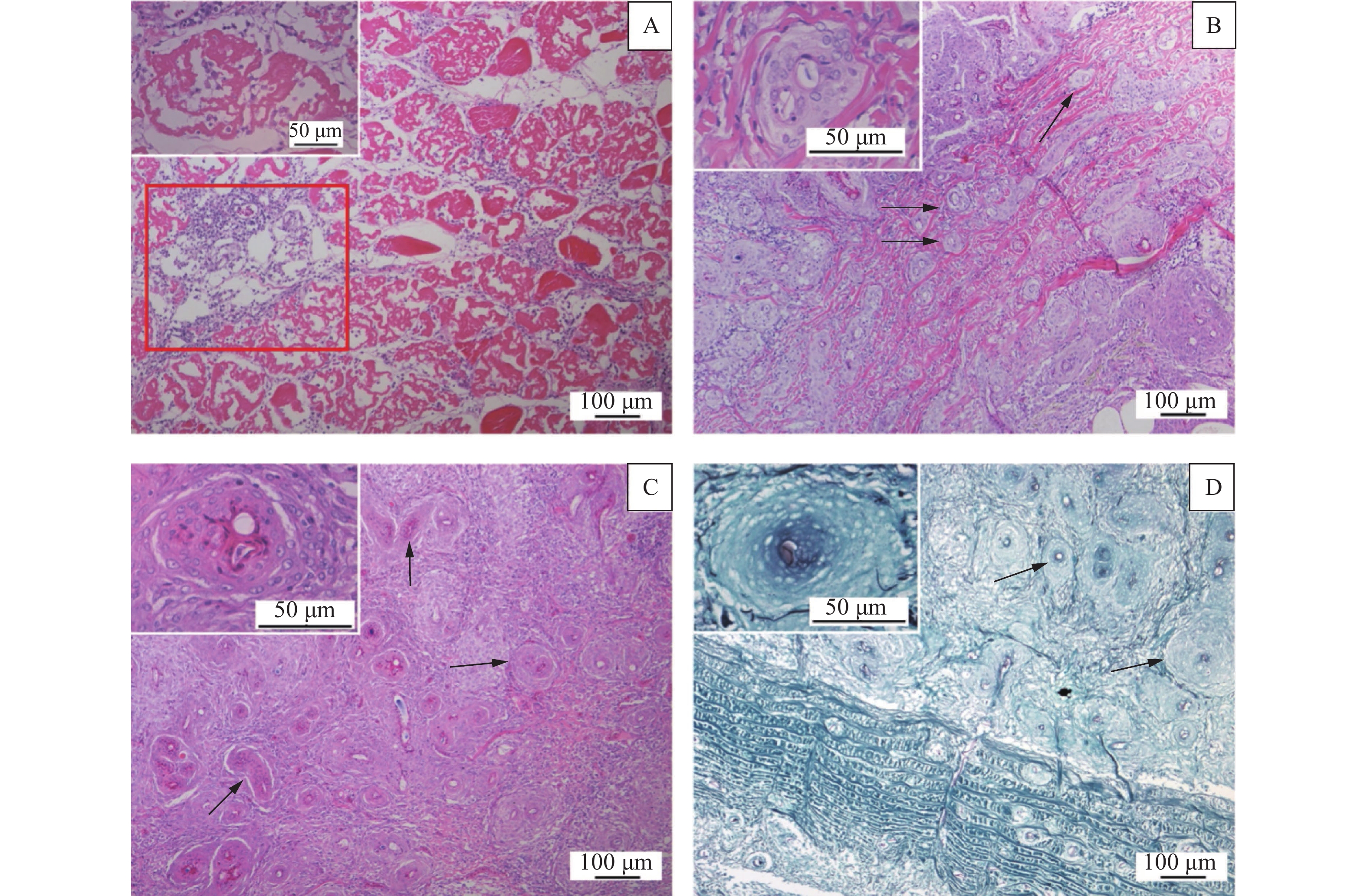
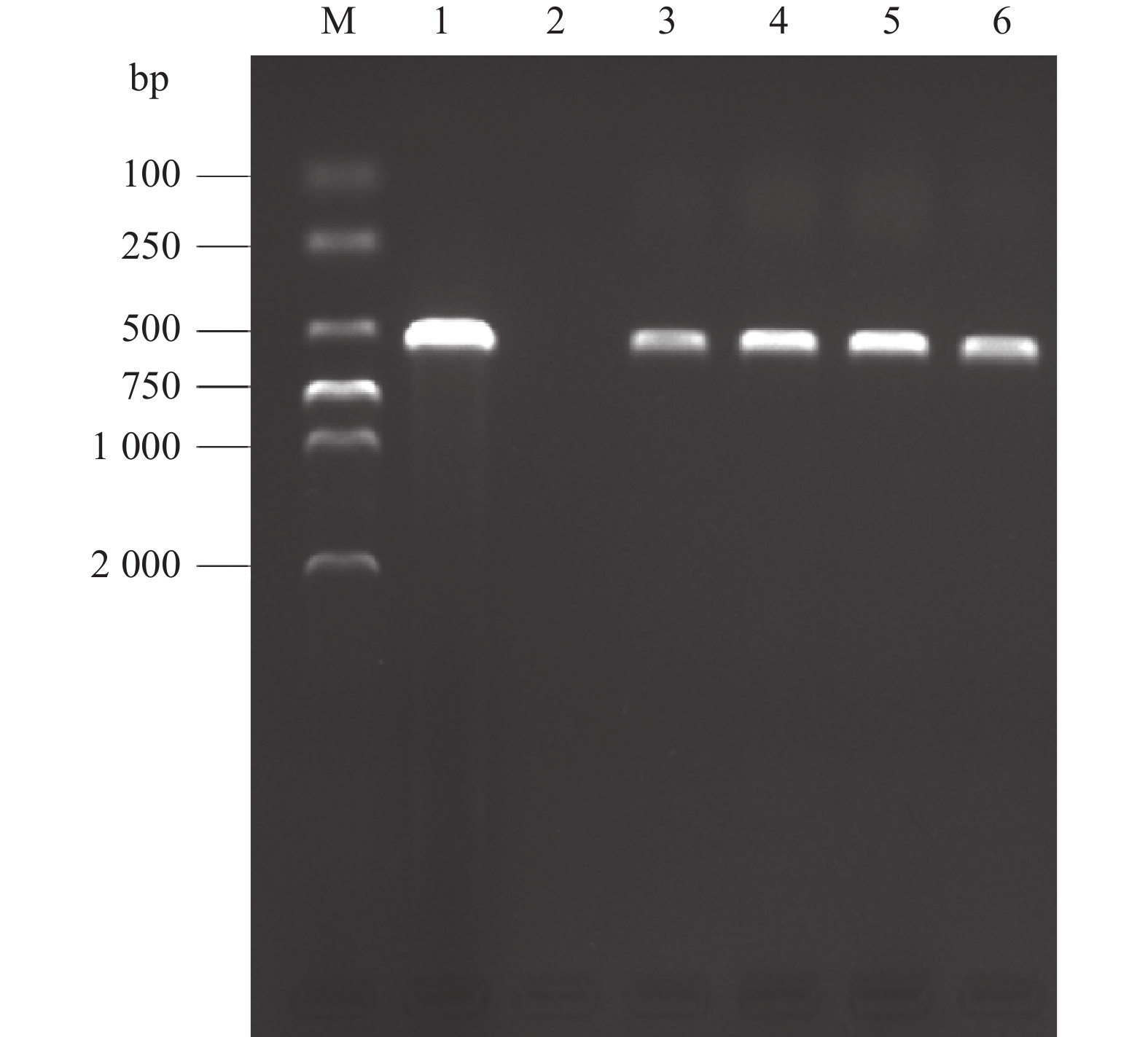
      结果 溃疡组织压片观察到大量直径10~30 μm、长丝状且分支较少的菌丝体;组织病理学上,肌纤坏死、溶解,炎性细胞浸润,病变组织中分布大量由上皮样细胞、纤维细胞及位于中央的菌丝体组成的霉菌性肉芽肿;六胺银染色(Periodic acid-silver metheramine,PASM)发现,霉菌性肉芽肿中央的菌丝体呈黑色。病变肌肉组织基于侵入丝囊霉菌Aphanomyces invadans ITS基因的特异性PCR检测为阳性。以葡糖糖/蛋白胨(Glucose and peotone,GP)琼脂分离培养得到的霉菌纯培养物(BW1、BW3)在灭菌池塘水过夜培养12 h后,形成原孢子囊,符合侵入丝囊霉菌属特征;两株分离霉菌ITS基因序列分析发现,其与侵入丝囊霉菌ITS基因的序列相似性分别为99.64%与99.46%,在系统发育树上与侵入丝囊霉菌聚类为一支。
      结论 确定大口黑鲈冬春季溃疡病是侵入丝囊霉菌感染所致。

       

      Abstract:
      Objective In recent years, outbreak of an epidemic disease with significant ulcers on the pond-farmed largemouth bass (Micropterus salmoides) happen in winter and spring. This study aims to identify the underlying etiology.
      Method To clarify its etiology, disease fish samples from Dongpo and Hongya District, Meishan were collected and analyzed using pathogenesis, pathology and molecular biology methods.
      Result A large number of long filamentous and less-branched mycelia with 10−30 μm diameter were observed in the ulcerated tissues. Pathologically, we observed necrosis or lysed muscle fibers, inflammatory cell infiltration in the muscle tissue, and distribution of numerous fungal granulomas consisting of epithelioid cells, fibroblasts, and central located mycelia in the lesion tissues. By using periodic acid-silver metheramine (PASM) staining, the mycelia in the fungal granulomas center displayed black colour. We confirmed the infection of Aphanomyces invadans in the lesion muscle tissues by PCR using species-specific primers that target the ITS gene of A. invadans. The A. invadans (BW1 and BW3) pure cultures were isolated by glucose and peotone (GP) agar and then incubated in sterilized pond water. Prosporangium formation was observed in the culture after 12 h incubation period, which was consistent with the characteristics of Aphanomyces. Based on ITS gene sequencing of BW1 and BW3, their ITS genes were found to have 99.64% and 99.46% sequence similarities with A. invadans, and the two strains clustered with A. invadans in the phylogenetic tree.
      Conclusion The ulcer disease of largemouth bass in winter and spring has been caused by A. invadans.

       

    /

    返回文章
    返回