甘肃党参中花生茎线虫的鉴定与记述

    Identification and description of Ditylenchus arachis from Codonopsis pilosula in Gansu Province

    • 摘要:
      目的  明确甘肃省渭源县党参Codonopsis pilosula病样中的茎线虫种类。
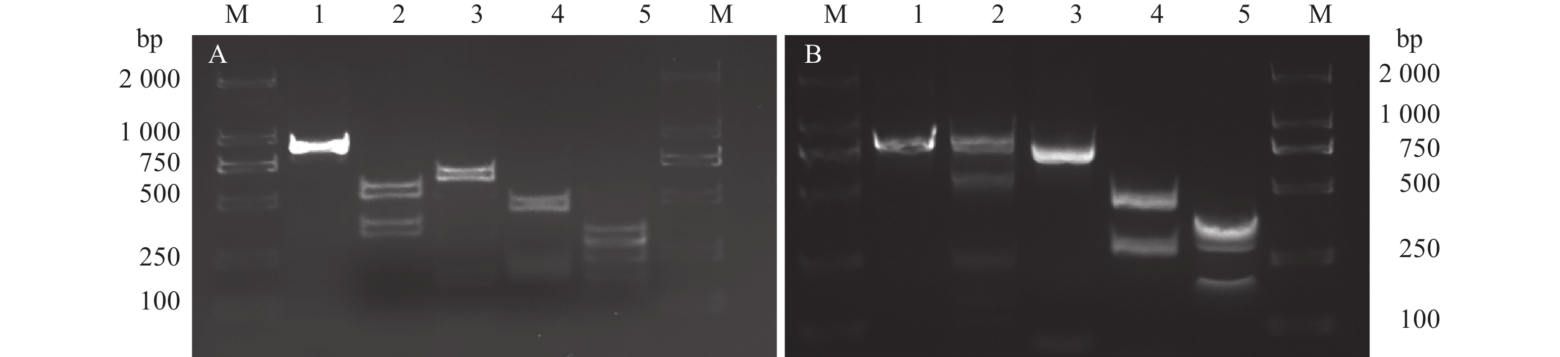
      方法  采用形态学特征、ITS-rDNA与28S-rDNA序列系统发育分析、特异性引物PCR扩增、PCR-ITS-RFLP相结合的方法进行种类鉴定。
      结果  甘肃省党参茎线虫群体形态特征与花生茎线虫Ditylenchus arachis相似,形态测量均值虽存在差异,但是范围值基本一致;系统发育分析显示,该线虫与花生茎线虫聚为一支,特异性引物PCR扩增片段、PCR-ITS-RFLP图谱均与花生茎线虫相同。
      结论  结合形态特征与分子特征分析,将甘肃党参茎线虫群体鉴定为花生茎线虫,表明该线虫已在甘肃发生分布。

       

      Abstract:
      Objective  To clarify the species of stem nematode from diseased sample of Codonopsis pilosula in Gansu Province.
      Method  Species identification of stem nematode was carried out by combing morphological analysis, phylogenetic analyses of ITS-rDNA and 28S-rDNA sequences, PCR with species-specific primers as well as PCR-ITS-RFLP.
      Result  The morphological characteristics of the stem nematode population from C. pilosula in Gansu was similar to those of Ditylenchus arachis. The ranges of measurement values were basically agreed with those of D. arachis although some average values were different. The phylogenetic analyses revealed that the tested population was clustered into the same branch withD. arachis. The fragment amplified with specific primers, and PCR-ITS-RFLP map of this population were consistent with those of D. arachi.
      Conclusion  The stem nematode population from C. pilosula in Gansu was identified as D. arachis based on morphological and molecular characters. D. arachis has occurred and distributed in Gansu.

       

    /

    返回文章
    返回