黄芪多糖及黄芪甲苷干预对脂多糖诱导的奶牛乳腺上皮细胞炎症的作用

    Effects of astragalus polysaccharide and astragaloside IV on lipopolysaccharides-induced inflammation of bovine mammary epithelial cells

    • 摘要:
      目的  考察黄芪提取物黄芪甲苷(Astragalus IV,AS-Ⅳ)及黄芪多糖(Astragalus polysaccharides,APS)干预对脂多糖(Lipopolysaccharides,LPS)诱导奶牛乳腺上皮细胞(Bovine mammary epithelial cells,BMECs)炎症的作用及对炎症细胞中β–酪蛋白表达的影响。
      方法  使用APS、AS-Ⅳ干预LPS诱导的BMECs,检测细胞炎症因子、氧化因子、凋亡因子、β–酪蛋白的变化。
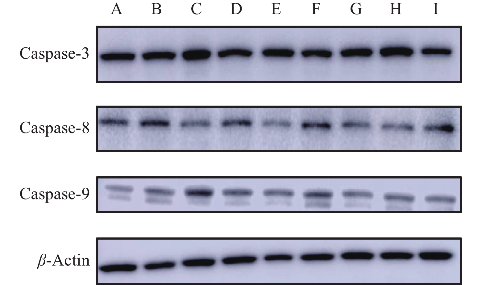
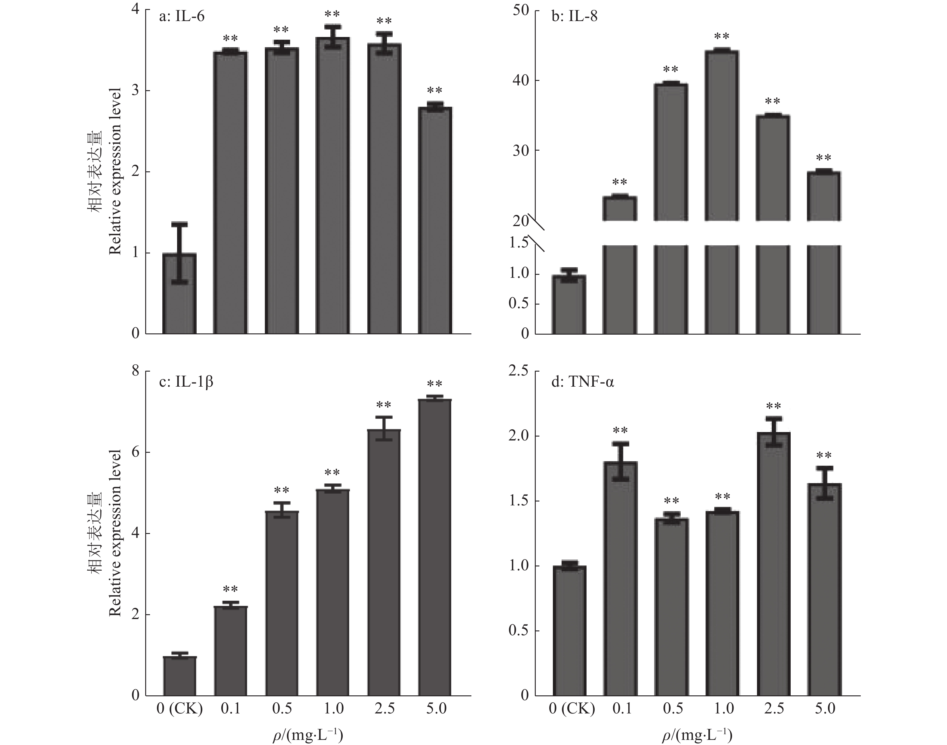
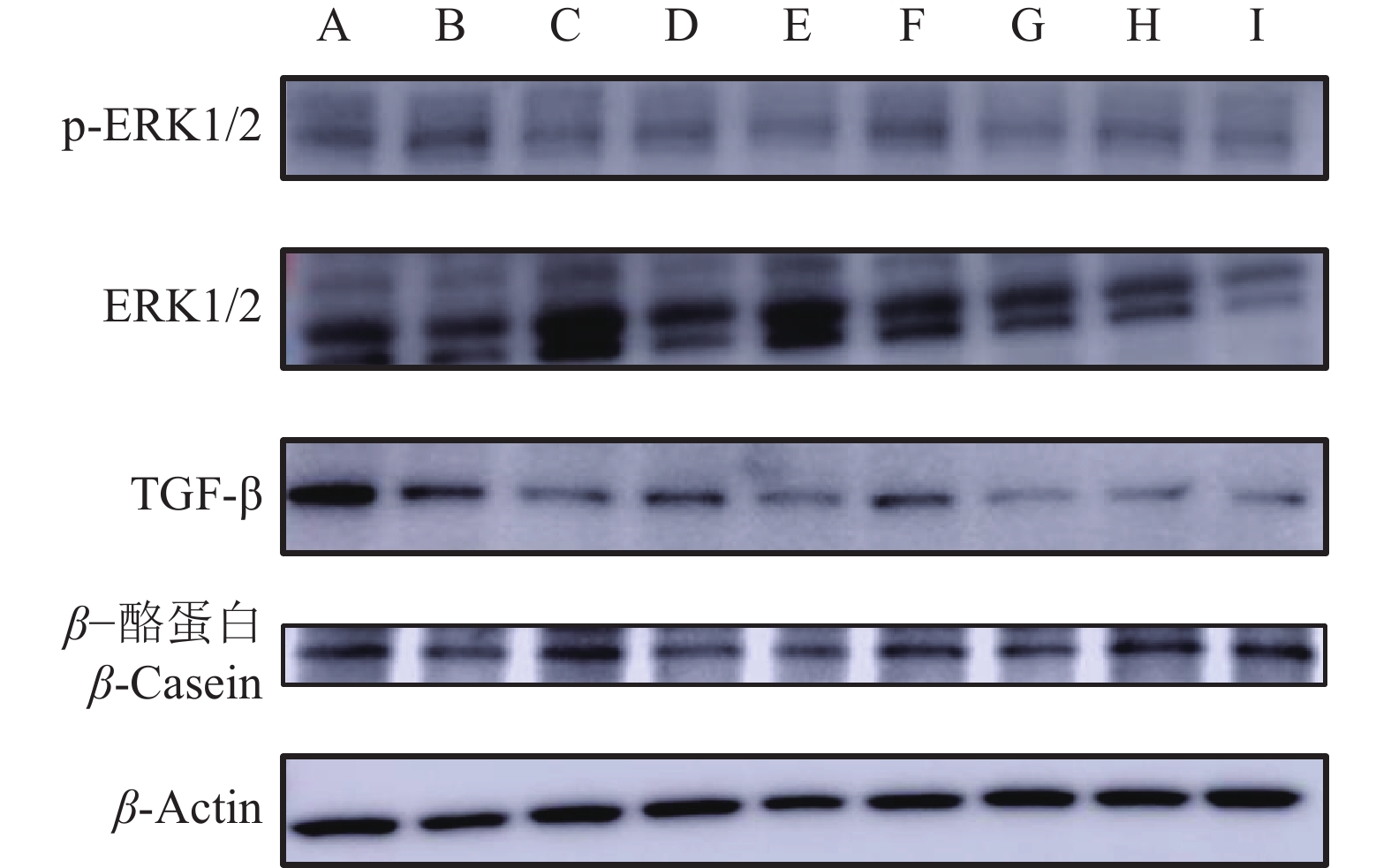
      结果  CCK-8筛选发现,1 g/L APS及50、75、100 mg/L AS-Ⅳ为刺激BMECs的最适质量浓度,0.5 mg/L LPS刺激BMECs 24 h后成功建立炎症细胞模型。AS-Ⅳ、APS可显著抑制炎症细胞中乳酸脱氢酶(Lactate dehydrogenase,LDH)的表达,缓解炎症状态下细胞膜的持续损伤;显著抑制炎症细胞中丙二醛(Malondialdehyde,MDA)和活性氧(Reactive oxygen species,ROS)的表达,缓解细胞的氧化损伤;显著抑制炎症细胞中IL-6、IL-8和TNF-α炎症因子的表达,降低细胞的炎症反应;显著抑制炎症细胞中凋亡蛋白的表达,抑制细胞凋亡;显著激活BMECs炎症细胞及正常细胞中β–酪蛋白,显著抑制TGF-β和ERK1/2的表达。
      结论  使用最适浓度的AS-Ⅳ、APS可抑制LPS诱导的BMECs炎症反应,激活炎症细胞中β–酪蛋白的表达。

       

      Abstract:
      Objective  To investigate the effects of astragaloside IV (AS-IV) and astragalus polysaccharides (APS) of astragalus extract on the lipopolysaccharides (LPS)-induced inflammation of bovine mammary epithelial cells (BMECs) and the effect on the expression of β-casein in inflammatory cells.
      Method  APS and AS-IV were used to intervene LPS-induced BMECs to detect the changes of cell inflammatory factors, oxidative factors, apoptosis factors and β-casein.
      Result  CCK-8 screening found the concentrations of 1g/L APS and 50, 75, 100 mg/L AS-IV were optimal to stimulate BMECs. After stimulating BMECs with 0.5 mg/L LPS for 24 h, the inflammatory cell model was successfully established. Experiments found that AS-IV and APS could significantly inhibit the expression of lactate dehydrogenase (LDH) in inflammatory cells and alleviate the continuous damage of cell membranes in the inflammatory state; Significantly inhibit the expression of malondialdehyde (MDA) and reactive oxygen species (ROS) in inflammatory cells and alleviate the oxidative damage of cells; Significantly inhibit the expression of IL-6, IL-8, TNF-α inflammatory factors in inflammatory cells, and reduce the inflammatory response of cells; Significantly inhibit the expression of apoptotic proteins in inflammatory cells and inhibit cell apoptosis; Significantly activate β-casein in BMECs inflammatory cells and normal cells, and inhibit the expression of TGF-β and ERK1/2.
      Conclusion  AS-IV and APS can inhibit the inflammatory response of BMECs induced by LPS and activate the expression of β-casein in inflammatory cells at the optimal concentrations.

       

    /

    返回文章
    返回