不同日龄鸡呼吸道黏膜中IgA分泌细胞的分布规律

    Distribution of IgA secreting cells in respiratory mucosa of chicken at different day-age

    • 摘要:
      目的  了解鸡呼吸道黏膜不同时期的免疫状态。
      方法  选择海兰白鸡鸡胚(18、20 日龄)及不同日龄(1、4、7、14、21、35和56 日龄)雏鸡的鼻、喉、气管和肺脏样品,利用免疫组织化学方法研究IgA+分泌细胞的出现、定位分布及数量变化过程。
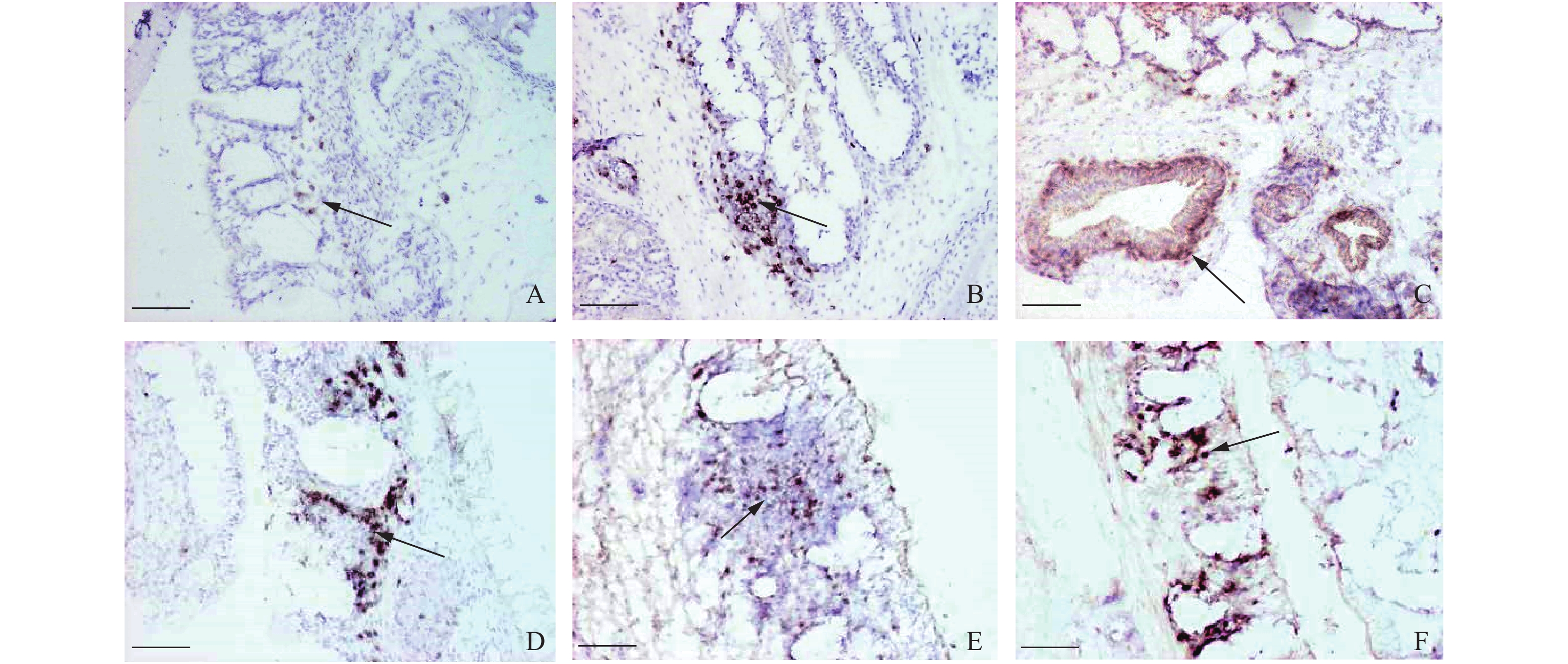
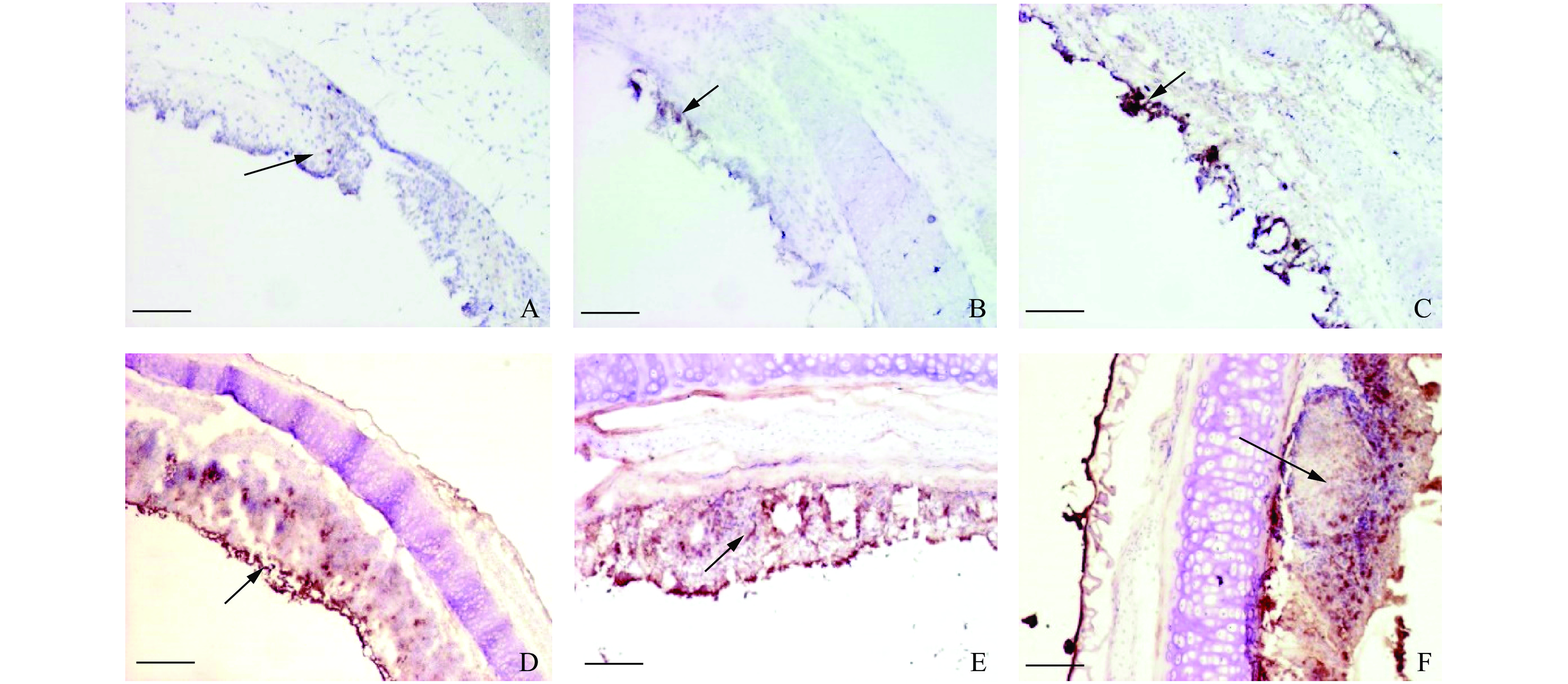
      结果  呼吸道各个器官黏膜中胚胎时期均没有IgA+细胞出现,鼻和肺脏中1日龄时出现,喉黏膜中4日龄时出现,而气管黏膜中7日龄时才出现。随着日龄增长,各器官呼吸道黏膜中IgA+细胞数量均逐渐增加。鼻黏膜以及肺脏初级支气管和次级支气管交叉处4日龄时较早地形成淋巴聚集物,喉黏膜中7日龄时形成,气管黏膜中35日龄时形成。在这些淋巴聚集物中IgA+细胞均主要分布于淋巴聚集物的外周。35日龄时,在鼻、喉和气管黏膜固有层以及上皮内均存在较多的IgA+细胞,从而能够更有效和直接地分泌SIgA,执行黏膜免疫功能。56日龄时,4种器官的呼吸道黏膜中IgA+细胞的数量达到峰值,并在黏膜底部形成生发中心,具有了黏膜相关性淋巴组织的典型特征,从而更有效地执行黏膜免疫功能。
      结论  鸡呼吸道黏膜中IgA+细胞的分布和数量均呈现日龄相关性变化,并且在35日龄时,鼻、喉、气管和肺脏中IgA+细胞数量和分布部位均达到一定规模,能够为呼吸道黏膜提供免疫保护。

       

      Abstract:
      Objective  To understand the immune status of chicken respiratory mucosa at different stages.
      Method  The embryo of Hy-line white chickens (18- and 20-day-old), and the nose, larynx, trachea and lung of chickens at different day-age (1-, 4-, 7-, 14-, 21-, 35- and 56-day-old) were selected in this study. The occurrence, location, distribution and quantity change of IgA+ secreting cells were studied by immunohistochemical method.
      Result  There was no IgA+ cell in the mucosa of each respiratory organ during the embryonic period. IgA+ cells were present in the nose and lung at 1-day-old age, laryngeal mucosa at 4-day-old age, and tracheal mucosa at 7-day-old age. The number of IgA+ cells in the respiratory mucosa of each organ increased gradually with the increase of age. The lymphoid aggregates were formed earlier in the nasal mucosa and the intersections of the primary and secondary bronchus in the lung at 4-day-old age, and formed in the laryngeal mucosa at 7-day-old age, in the tracheal mucosa at 35-day-old age. The IgA+ cells in these lymphoid aggregates were all mainly distributed on the periphery of the lymphoid aggregates. At 35-day-old age, there were more IgA+ cells in the mucosal lamina propria and the epithelium of the nose, larynx and trachea, and thus more effective and direct secretion of SIgA could be performed for mucosal immunity. At 56-day-old age, the number of IgA+ cells in the respiratory mucosa of the four organs reached a peak and germinal centers were formed at the mucosal bottom, which was the characteristic of mucosal associated lymphoid tissue, thus more effectively performed mucosal immune function.
      Conclusion  The distribution and number of IgA+ cells in the respiratory mucosa of chickens show age-related changes, and the number and distribution of IgA+ cells in the nose, larynx, trachea and lung all reach a certain scale at 35-day-old, which can provide immune protection for the respiratory mucosa.

       

    /

    返回文章
    返回