基于种特异性线粒体细胞色素氧化酶I引物快速鉴定茄二十八星瓢虫和马铃薯瓢虫

    Rapid identification of Henosepilachna vigintioctopunctata and Henosepilachna vigintioctomaculata based on species-specific mitochondrial cytochrome oxidase I primers

    • 摘要:
      目的  茄二十八星瓢虫Henosepilachna vigintioctopunctata和马铃薯瓢虫Henosepilachna vigintioctomaculata 都是茄科作物上的重要害虫,对茄科作物造成极大的经济损失。这2种瓢虫由于外形非常相似,无法通过体表特征区分,因此很有必要开发一种准确且快速的区分方法。
      方法  基于这2种瓢虫线粒体细胞色素氧化酶I(Mitochondrial cytochrome oxidase I, mtCOI)的物种特异性,利用种特异性(Species-specific,SS) PCR引物建立了一种分子鉴定技术,即以茄二十八星瓢虫和马铃薯瓢虫之间的mtCOI基因序列变异为基础,设计了2对SS-mtCOI引物Hvp和Hvm。
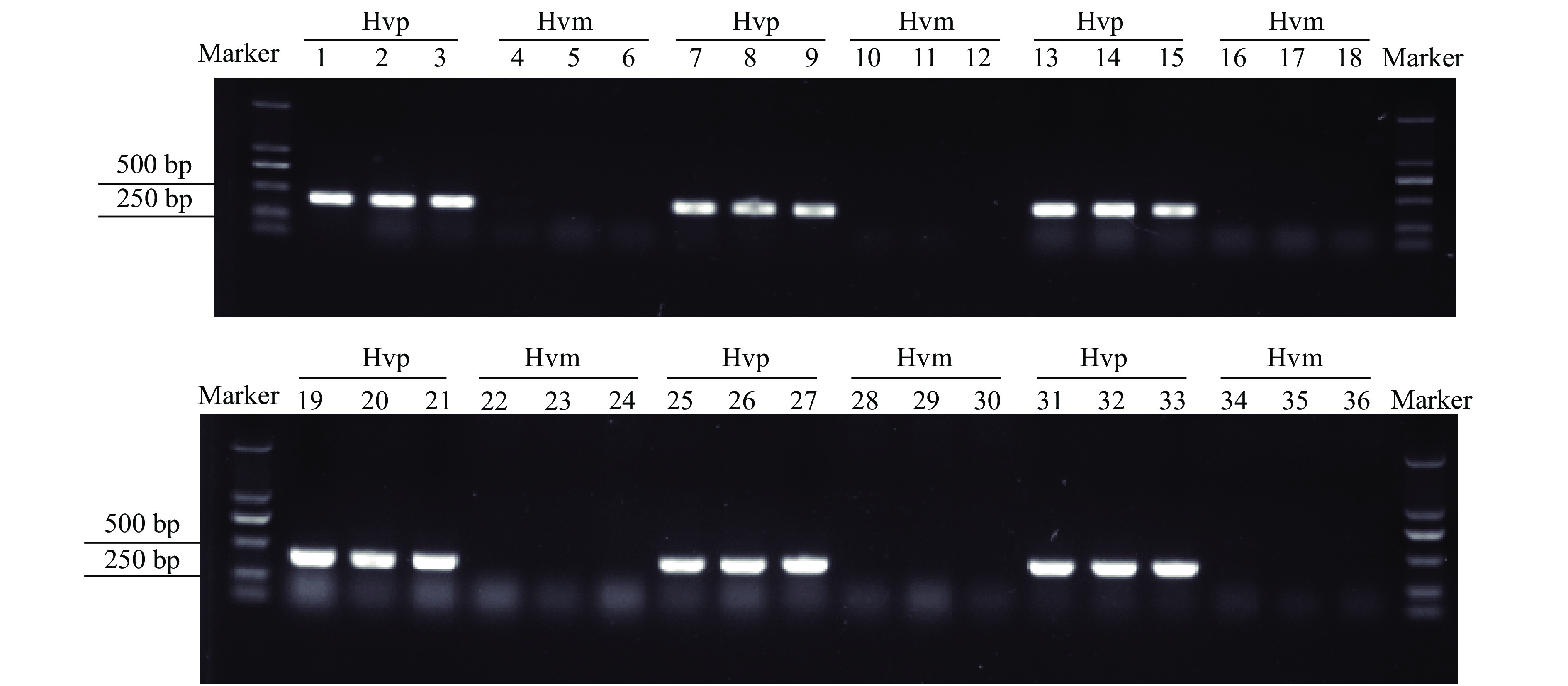
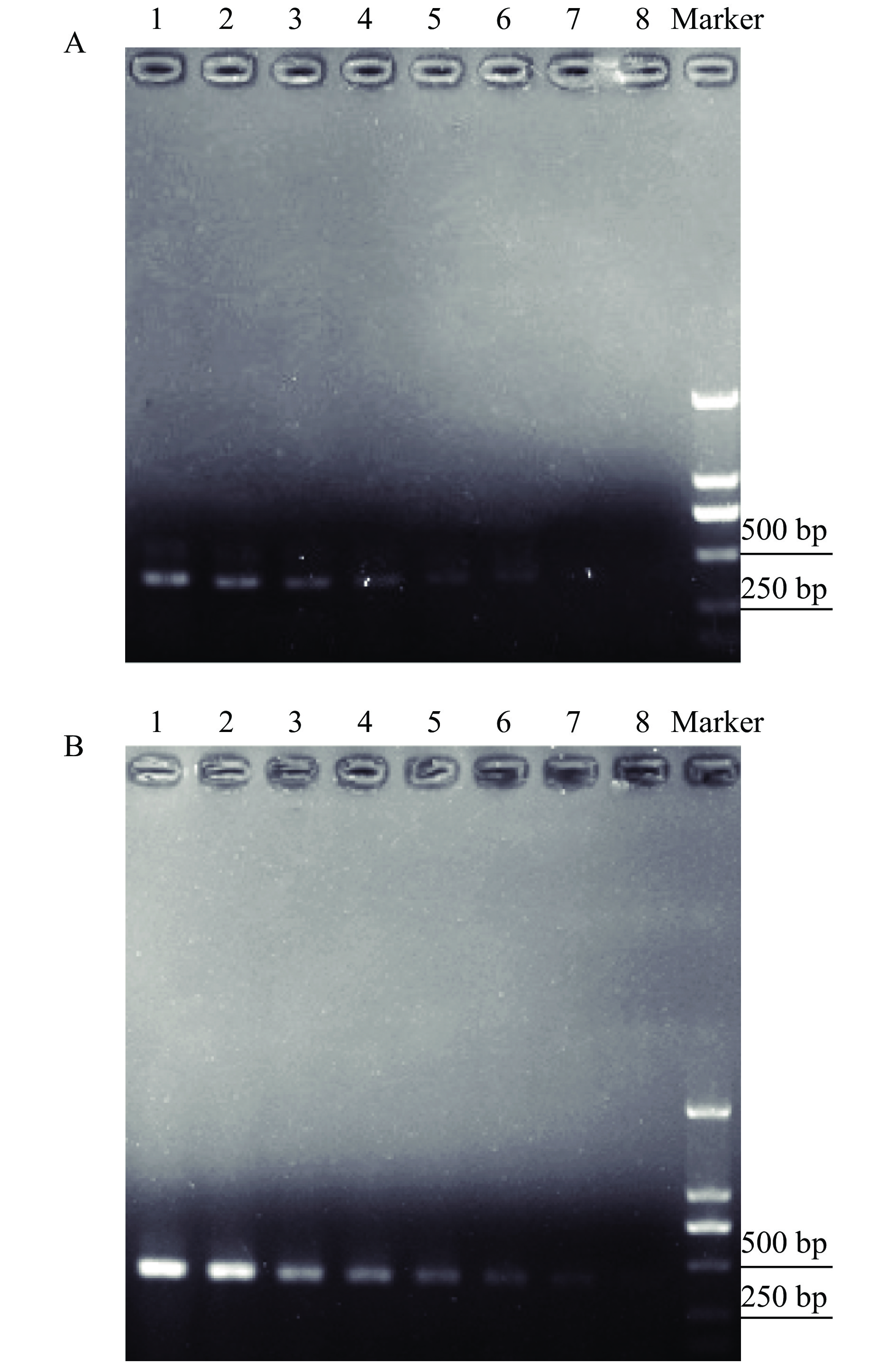
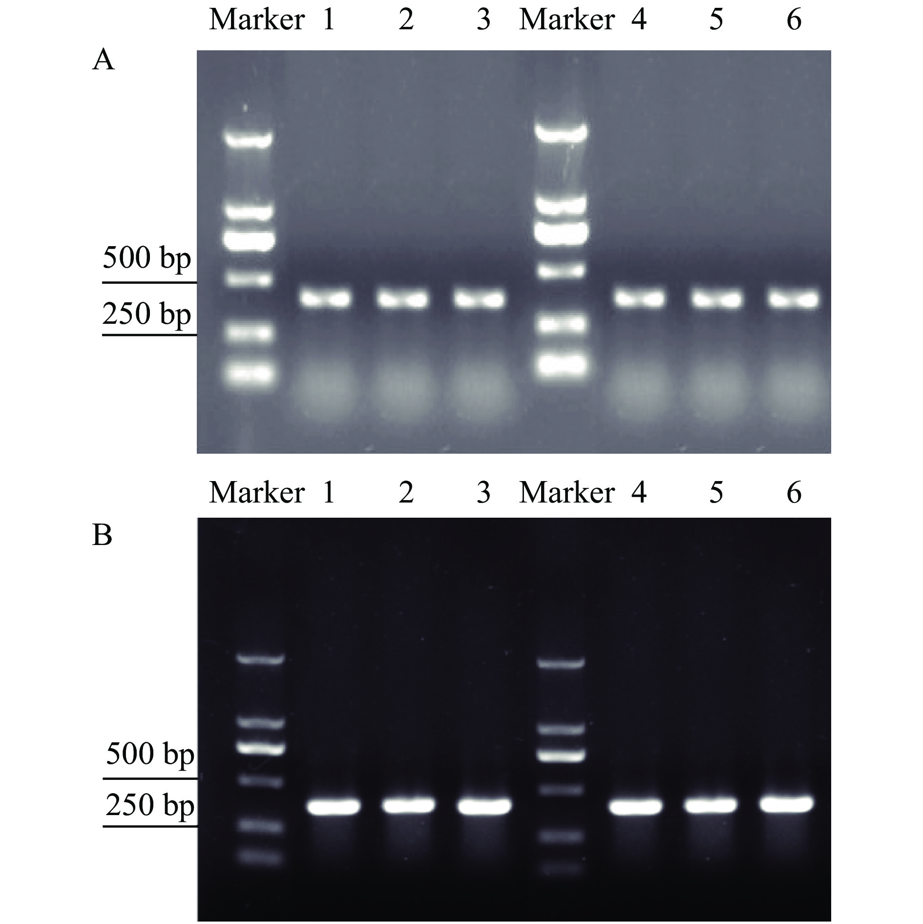
      结果  用这2对引物进行PCR扩增,均出现物种特异性扩增现象。在不同的DNA质量浓度下对该SS-mtCOI引物进行敏感性检测,结果表明,Hvp引物在茄二十八星瓢虫DNA质量浓度为3.13 mg/L时仍可检测到扩增条带,Hvm引物在马铃薯瓢虫DNA浓度为2.43 mg/L时仍能检测到扩增条带。此外,Hvp和Hvm引物也能准确鉴定马铃薯瓢虫和茄二十八星瓢虫的卵和1龄幼虫,从6个不同省份采集的田间种群也能通过Hvp引物准确鉴定。
      结论  这2对SS-mtCOI引物能快速、准确、灵敏地鉴别茄二十八星瓢虫和马铃薯瓢虫。

       

      Abstract:
      Objective  Henosepilachna vigintioctopunctata (Fabricius) and Henosepilachna vigintioctomaculata (Motschulsky), two kinds of phytophagous ladybeetles in China, are destructive pests causing great damage to solanaceous plants. They are difficult to distinguish based on external morphological characteristics, and it is therefore necessary to develop a rapid and accurate method to differentiate them.
      Method  We established a molecular identification technique using species-specific (SS) PCR primers based on the species-specificity of mitochondrial cytochrome oxidase I (mtCOI) of two ladybeetles. Two pairs of SS-mtCOI primers, Hvp and Hvm, were designed based on sequence variations in the mtCOI gene between H. vigintioctopunctata and H. vigintioctomaculata.
      Result  PCR amplifications were conducted using these two primers and both had species-specific amplifications. Sensitivity assays were conducted under different DNA concentrations, and the results showed that Hvp primers for H. vigintioctopunctata had a detectable amplification band at a DNA concentration of 3.13 mg/L, while Hvm primers for H. vigintioctomaculata had a detectable amplification band at a DNA concentration of 2.43 mg/L. The egg or 1st instar of H. vigintioctopunctata and H. vigintioctomaculata could also be accurately differentiated by Hvp and Hvm primers. Furthermore, six field populations of H. vigintioctopunctata collected from six provinces could be authenticated by the Hvp primers.
      Conclusion  These two pairs of SS-mtCOI primers can differentiate H. vigintioctopunctata and H. vigintioctomaculata rapidly, accurately and sensitively.

       

    /

    返回文章
    返回