1种鉴别草地贪夜蛾性别的分子标记引物的开发

    Development of a molecular marker for sex identification of Spodoptera frugiperda

    • 摘要:
      目的  开发用于草地贪夜蛾Spodoptera frugiperda性别鉴定的分子标记引物。
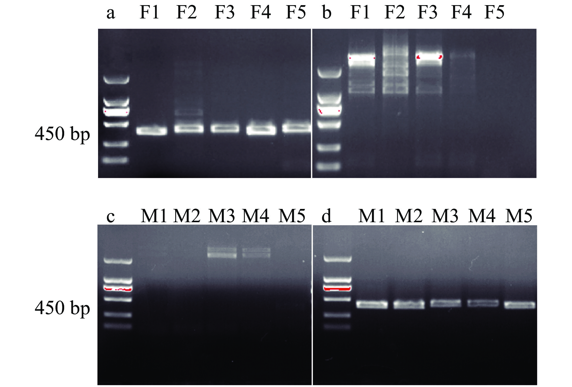
      方法  依据草地贪夜蛾雌、雄虫性信息素结合蛋白(Pheromone-binding protein, PBP)基因片段序列的差异设计特异性性别鉴定引物;利用引物对经过形态学鉴定的草地贪夜蛾雌、雄样本进行PCR验证。
      结果  2对引物分别对对应的雌、雄虫样本均扩增出450 bp左右的特异性条带。
      结论  开发的分子标记引物可以快速有效地对各个时期的草地贪夜蛾进行性别鉴定,为研究草地贪夜蛾雌、雄个体差异提供一种有效工具。为制定基于性别鉴定的草地贪夜蛾的有效治理防控策略提供参考。

       

      Abstract:
      Objective  To develop molecular marker primers for sexual identification of Spodoptera frugiperda.
      Method  Based on the difference in pheromone-binding protein (PBP) gene sequences of male and female S. frugiperda, the primers were designed for distinguishing sexual distinction specifically. Using the primers, the male and female S. frugiperda samples already identified by morphology were further verified by PCR.
      Result  Specific bands of about 450 bp for the corresponding female and male samples were amplified by two pairs of primers respectively.
      Conclusion  The molecular marker primers can be used to discriminate the sex of S. frugiperda in various developmental stages efficiently, and provide an effective tool for the study of the individual distinction between different sexual insects. This study provide a reference for formulating the strategy to control S. frugiperda effectively based on sexual distinction.

       

    /

    返回文章
    返回