藏猪妊娠期乳腺形态和乳腺发育的标志蛋白表达、相关激素及信号通路的变化

    Alternations of mammary gland morphology, and marker protein expression, related hormones and signaling pathways of mammary gland development during gestation in Tibetan pigs

    • 摘要:
      目的  研究藏猪妊娠期乳腺形态和乳腺发育标志蛋白、相关激素及信号通路的变化。
      方法  选取妊娠33、50、75和90 d的藏猪,屠宰后采集血清和第3、4对乳腺。利用HE染色观察乳腺形态变化;使用ELISA试剂盒检测血清中雌二醇(E2)、孕酮(P)和催乳素(PRL)等乳腺发育相关激素的水平;利用Western blot方法检测乳腺发育标志蛋白包括ETS相关的转录因子5 (Elf-5)和脂滴包被蛋白2 (PLIN2),以及激素受体包括雌激素受体(ERα)、催乳素受体(PRLR)和孕酮受体(PR)的表达,并检测乳腺发育相关信号通路PI3K/AKT和Jak2/STAT5的激活情况。
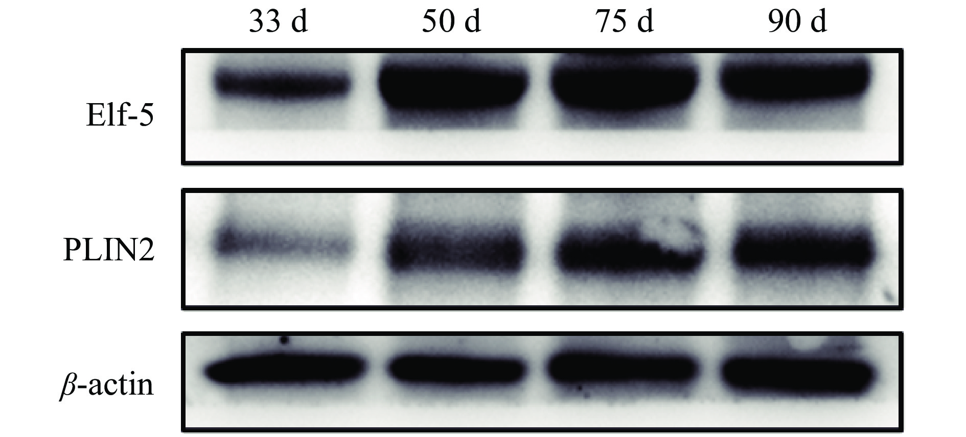
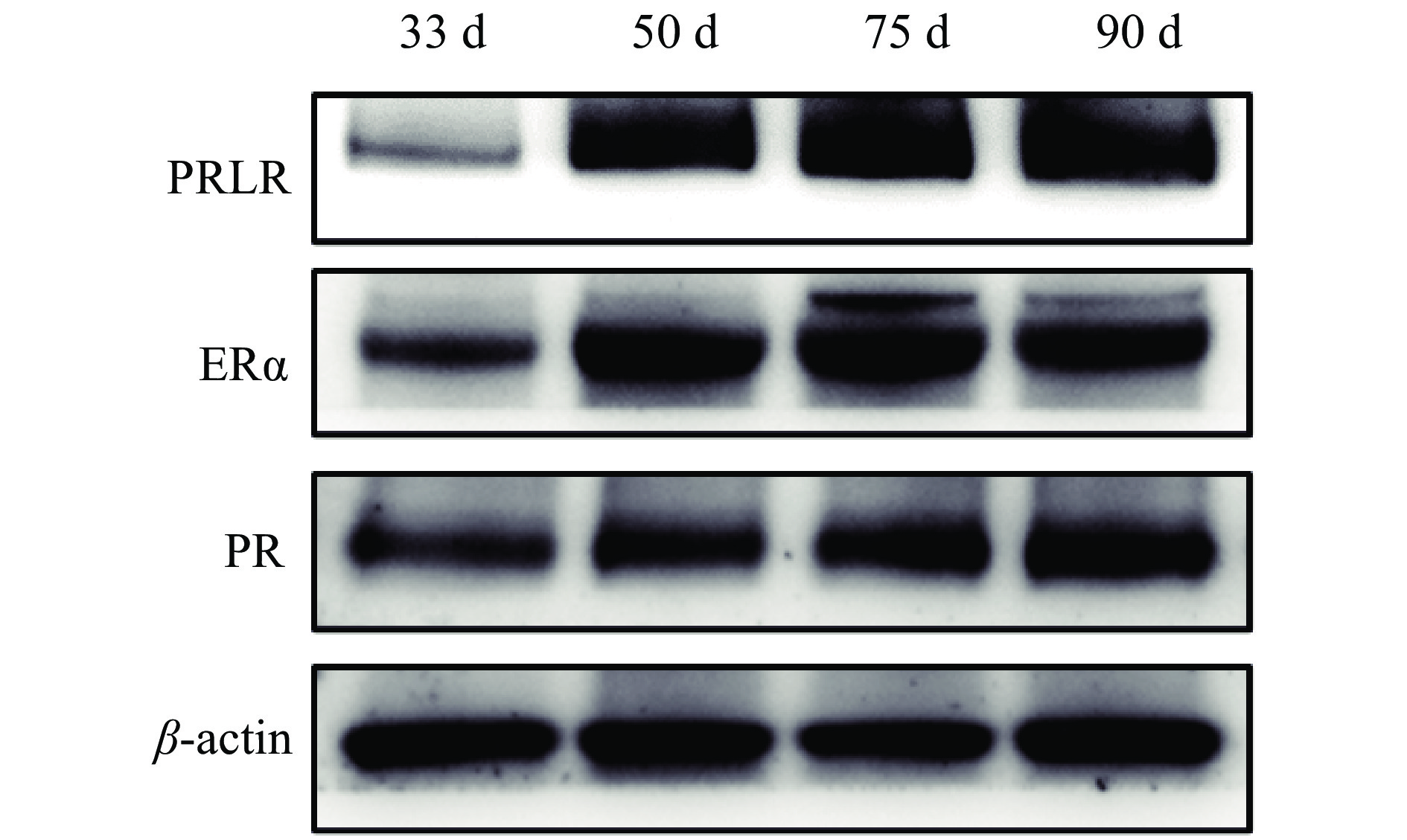
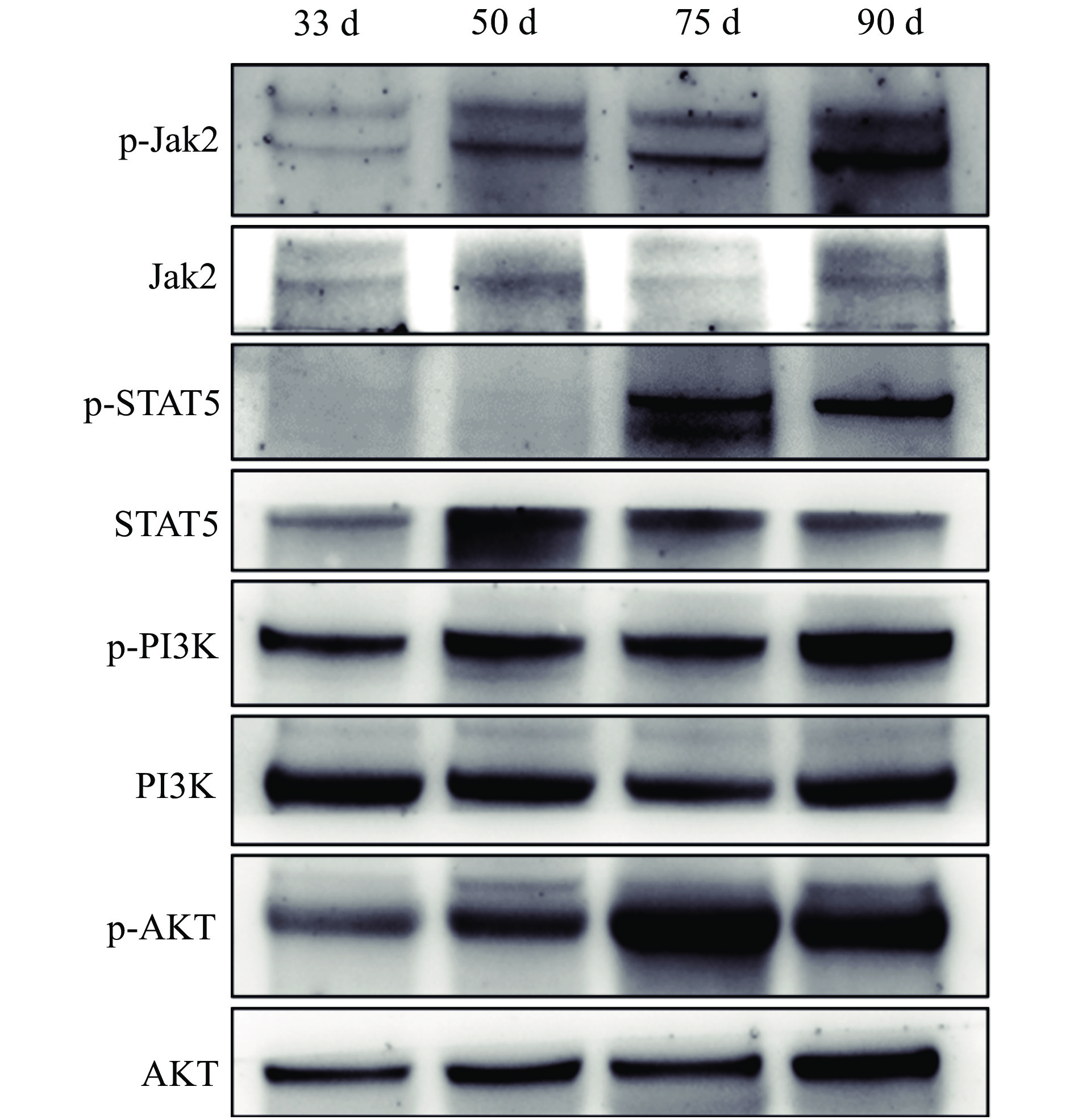
      结果  从乳腺形态观察可知,妊娠33 d时乳腺中主要是导管结构,50 d时出现少量腺泡结构,75 d时腺泡快速发育、腺泡增多,90 d时乳腺中主要是腺泡结构;乳腺发育标志蛋白Elf-5和PLIN2在妊娠50 d蛋白表达开始升高,75和90 d时均具有很高的表达量;血清中E2、P和PRL质量浓度随着妊娠的进行而升高,90 d时E2达到42.82 ng/L,P达到36.76 μg/L,PRL达到66.53 μg/L;ERα和PRLR在妊娠50 d时表达量升高,PR在75 d时表达量升高。此外,Jak2/STAT5和PI3K/AKT信号通路在妊娠75和90 d时被显著激活。
      结论  藏猪妊娠过程中,乳腺在50 d时开始腺泡发育、75 d时乳腺进入腺泡快速发育期、90 d时发育程度更高,同时,伴随着血清中乳腺发育相关激素和乳腺中激素受体表达的显著升高,以及乳腺发育相关通路PI3K/AKT和Jak2/STAT5的激活。

       

      Abstract:
      Objective  To investigate the alternations of the mammary gland morphology and of the marker protein expression, related hormones and signaling pathways of mammary gland development during gestation in Tibetan pigs.
      Method  The pigs were slaughtered, and serum and the mammary glands of the third and fourth pairs were collected at 33, 50, 75 and 90 days of gestation. HE staining was used to observe the changes in mammary gland morphology. The ELISA kit was used to detect the serum levels of hormones related to mammary gland development such as estradiol (E2), progesterone (P) and prolactin (PRL). Western blot method was used to examine the expressions of marker proteins such as E74-like factor 5 (Elf- 5) and perilipin 2(PLIN2) in mammary gland development, and of hormone receptors such as estrogen receptor (ERα), prolactin receptor (PRLR) and progesterone receptor (PR), as well as the activations of PI3K/AKT and Jak2/STAT5 signal pathways which were related to mammary gland development.
      Result  Morphologically, the mammary glands at 33 days of gestation were mainly composed of ductal structures, and a small amount of alveolar structures appeared at 50 days. At 75 days, the alveoli developed rapidly in the mammary glands. Notably, the mammary glands were mainly composed of alveolar structures at 90 days. Correspondingly, the expression levels of the marker proteins Elf-5 and PLIN2 in mammary gland development began to increase at 50 days of gestation, with high expression levels at 75 and 90 days. Meanwhile, serum levels of E2, P and PRL all increased with the progress of gestation. The contents of E2, P and PRL reached 42.82 ng/L, 36.76 and 66.53 μg/L respectively at 90 days. In addition, the expression levels of ERα and PRLR increased at 50 days and the PR expression increased at 75 days. Furthermore, the Jak2/STAT5 and PI3K/AKT signaling pathways were significantly activated at 75 and 90 days of gestation.
      Conclusion  During gestation in Tibetan pigs, the mammary glands begin to develop alveolar at 50 days, enter the rapid alveolar development stage at 75 days, with higher developmental degree at 90 days. The alternations of mammary gland morphology are accompanied with the significant increase of hormones related to mammary gland development in serum and of hormone receptor expression in mammary glands, and with the activations of the PI3K/AKT and Jak2/STAT5 pathways which are closely related to mammary gland development.

       

    /

    返回文章
    返回