猪O型口蹄疫病毒抗原表位/VP1蛋白的融合表达及免疫原性研究

    Fusion expression and immunogenicity of the antigen epitope/VP1 protein against swine O-type foot-and-mouth disease virus

    • 摘要:
      目的  获得可稳定表达猪O型口蹄疫病毒(Foot-and-mouth disease virus,FMDV)抗原表位融合结构蛋白VP1的中国仓鼠卵巢细胞株(CHO-K1),制备亚单位疫苗。
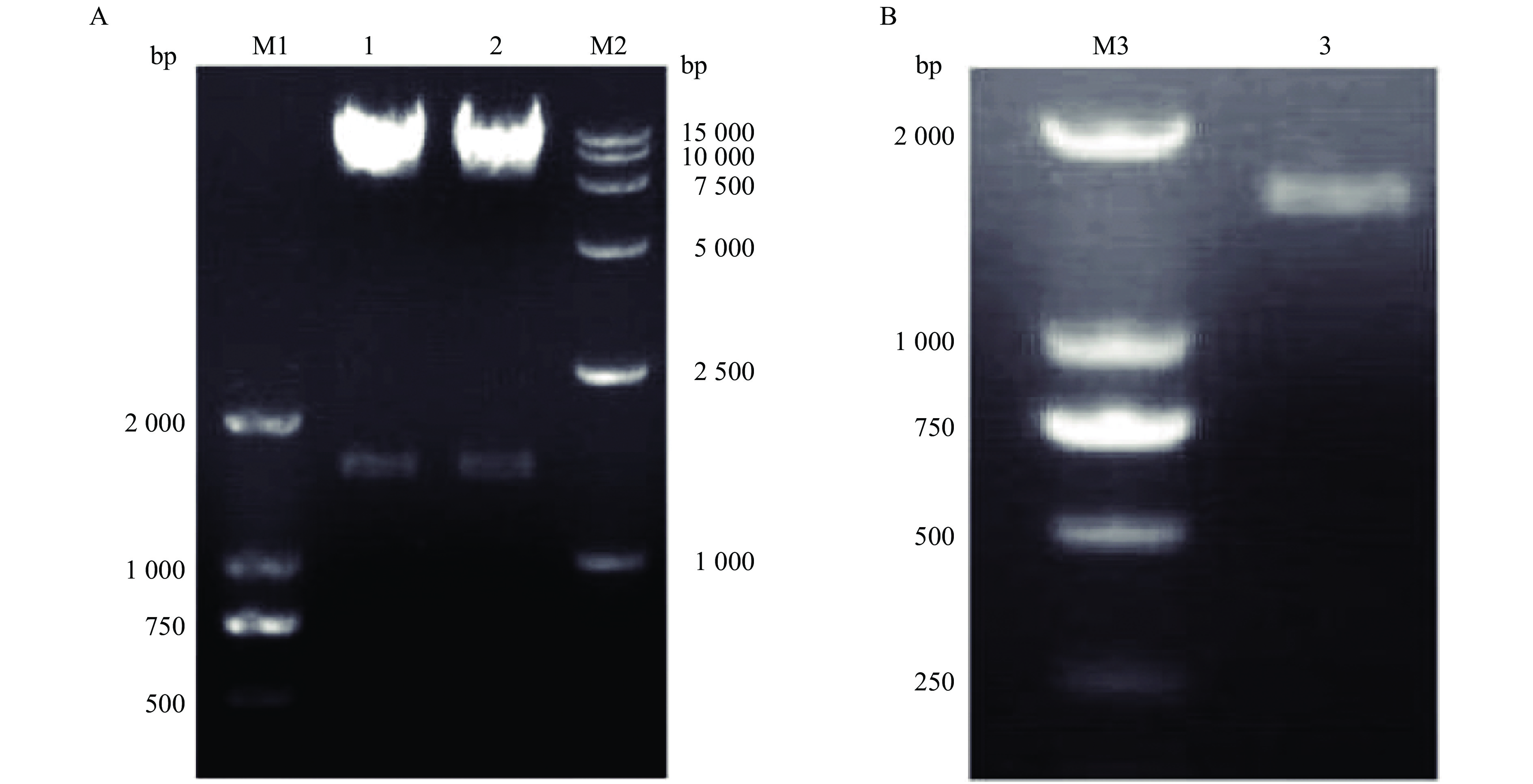
      方法  设计合成含FMDV抗原表位与VP1基因序列的重组基因RP1,将其克隆到表达载体pCDH-CMV-MCS-EF1-Puro中,将构建的重组质粒与辅助质粒PLP1、PLP2和PLP3共转染HEK-293T细胞,获得重组慢病毒HIV-RP1;将收获的病毒液感染CHO-K1细胞,经筛选获得单克隆细胞株,通过间接免疫荧光试验(Indirect immunofluorescence assay,IFA)和Western blot鉴定,获得可表达RP1的阳性细胞株,命名为CHO-K1-RP1;将CHO-K1-RP1连续传30代,每隔5代收获相同数量的细胞样品进行Western blot鉴定。
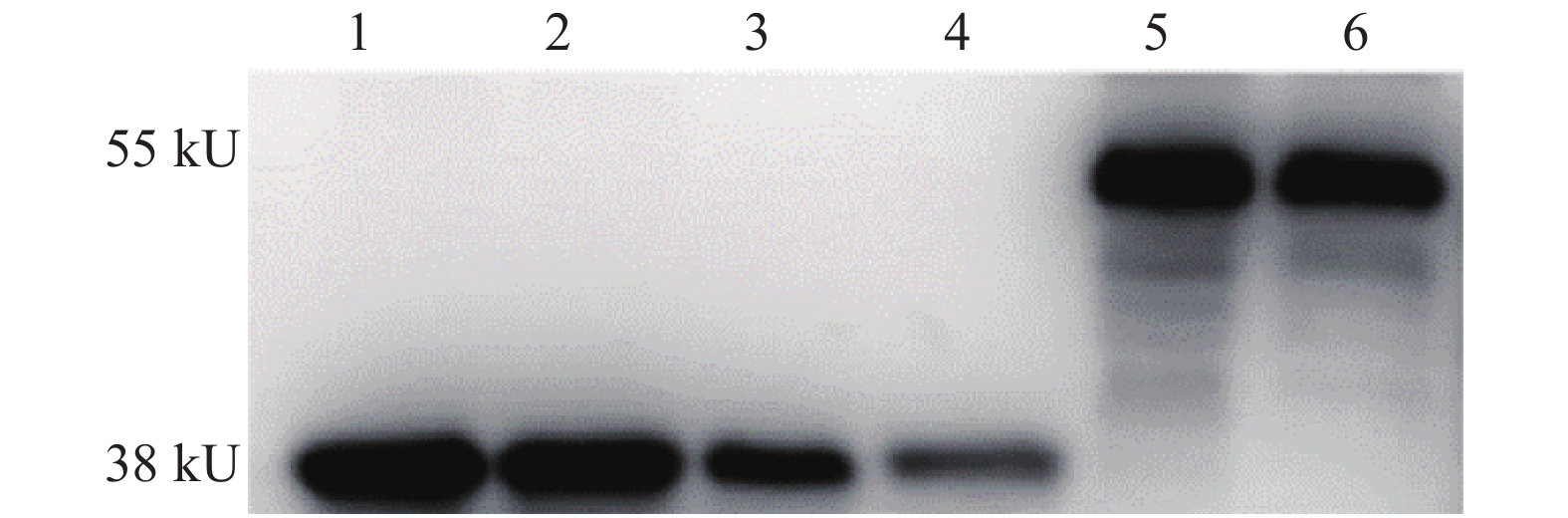
      结果  IFA结果显示,表达RP1的细胞发出绿色荧光,而空白对照无绿色荧光;Western blot结果显示,在约55 kU处能观察到清晰的条带;表明成功获得了融合蛋白。将获得的融合蛋白与佐剂等体积混合制备成亚单位疫苗免疫BALB/c雌鼠,抗体检测结果显示,二次免疫后,该亚单位疫苗组与口蹄疫(Foot-and-mouth disease,FMD)商品化灭活疫苗组小鼠之间抗体水平无显著差异,两者抗体水平均显著高于对照组(P<0.05)。
      结论  本研究构建的亚单位疫苗能有效刺激小鼠机体产生免疫应答反应,为猪口蹄疫新型疫苗的研制提供了参考。

       

      Abstract:
      Objective  To obtain Chinese hamster ovary cell line (CHO-K1) which can stably express antigen epitope fusing VP1 protein of swine O-type foot-and-mouth disease virus (FMDV), and prepare subunit vaccine.
      Method  A recombinant gene RP1 containing FMDV antigen epitope and its VP1 gene sequence was designed, synthesized and cloned into expression vector pCDH-CMV-MCS-EF1-Puro. The constructed recombinant plasmid was co-transfected into HEK-293T cells with helper plasmids PLP1, PLP2 and PLP3 to obtain recombinant lenti virus HIV-RP1. CHO-K1 cells were infected by the harvested virus solution, and the monoclonal cell lines were obtained by screening. The expressing RP1 positive cell line named CHO-K1-RP1 was obtained by indirect immunofluorescence assay (IFA) and Western blot identification. The CHO-K1-RP1 was passed on continuously for 30 generations, and the same number of cell samples were collected every five generations for Western blot identification.
      Result  IFA results showed that the cells expressing RP1 emitted green fluorescence, while the blank control had no green fluorescence. Western blot results showed that a clear band was observed at about 55 kU. The above results indicated that the fusion protein was successfully obtained. Female BALB/c mice were immunized with subunit vaccine prepared by mixing equal volumes of fusion protein and adjuvant. The antibody titer identification results showed that after the second immunization, foot-and-mouth disease (FMD) subunit vaccine group and FMD commercial inactivated vaccine group had no significant difference at antibody levels, but both were significantly higher than those of control (P<0.05).
      Conclusion  The subunit vaccine constructed in this study can effectively stimulate the immune response in mice, which provides a reference for the development of a new vaccine against FMD in pigs.

       

    /

    返回文章
    返回