白狐源星状病毒RdRp基因的鉴定及遗传演化分析

    Identification and genetic evolution analysis of astrovirus RdRpgene of Alopexlagopus

    • 摘要:
      目的  探究广州动物园一例死亡白狐Alopex lagopus肾脏中鉴定出的星状病毒的遗传变异情况。
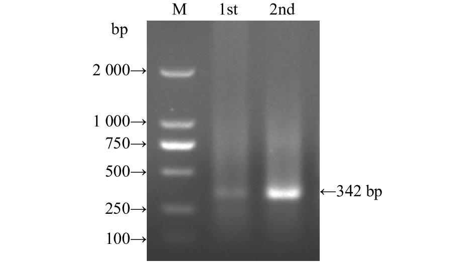
      方法  对死亡白狐进行剖检,利用半巢式RT-PCR对内脏器官进行病原学检测,对扩增出的病毒株的RdRp基因序列进行相似性分析。
      结果  死亡白狐的肾脏苍白肿大,被膜难以剥离,肾脏中检测出的星状病毒RdRp基因呈阳性。RdRp基因与9株参考毒株的核苷酸相似性为67.5%~96.2%,其中与香港猫源星状病毒1637F的核苷酸相似性(96.2%)最高。
      结论  本研究为星状病毒在野生哺乳动物间的跨种传播及肠外器官中的感染提供了依据。

       

      Abstract:
      Objective  To investigate the genetic variation of astrovirus identified in the kidney of a dead Alopex lagopus in Guangzhou Zoo.
      Method  The autopsy was performed on the dead A. lagopus, and the etiology detection of the internal organs was determined by semi-nested RT-PCR. The amplified RdRp gene sequence of the virus strain was used for similarity analysis.
      Result  The kidney of the dead A. lagopus were pale, enlarged and the capsule was difficult to be stripped off. The astrovirus RdRp gene in kidney showed positive. The astrovirus RdRp gene had nucleotide similarities of 67.5%−96.2% with nine referenced astrovirus strains from other animals, and was most closely related to the feline astrovirus 2 strain 1637F isolated in Hong Kong (96.2% similarity).
      Conclusion  The study enlarges the knowledge of the interspecies transmission of astrovirus among wild mammals, also proves the possibility of extraintestinal infection caused by astrovirus.

       

    /

    返回文章
    返回