利用CRISPR/Cas9系统构建可诱导型猪Sohlh1基因敲除细胞系

    Construction of pig cell line with inducible Sohlh1 gene knockout using CRISPR/Cas9 system

    • 摘要:
      目的  将Tet-on系统与CRISPR/Cas9系统相结合建立诱导敲除猪Sohlh1基因的细胞系。
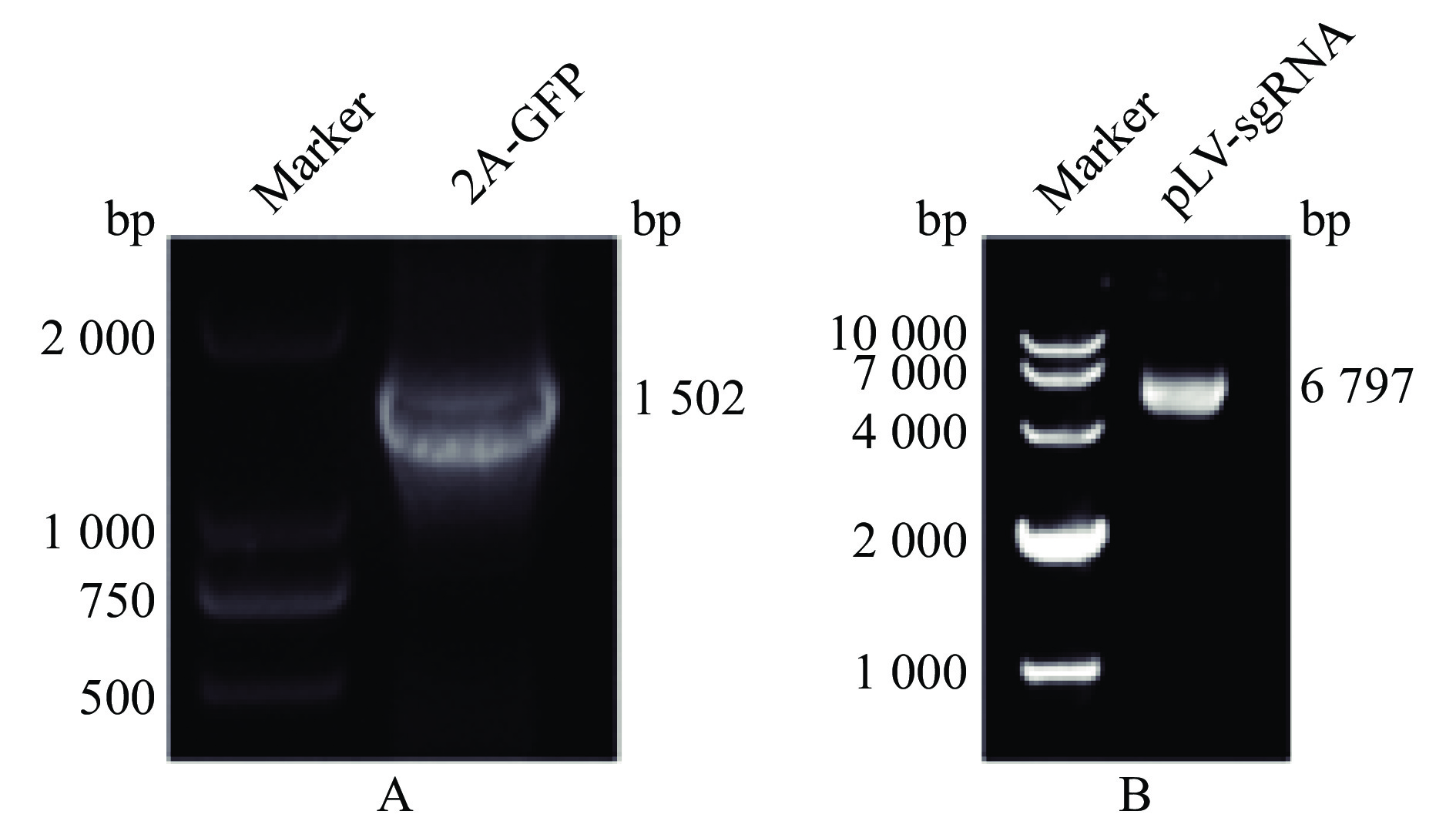
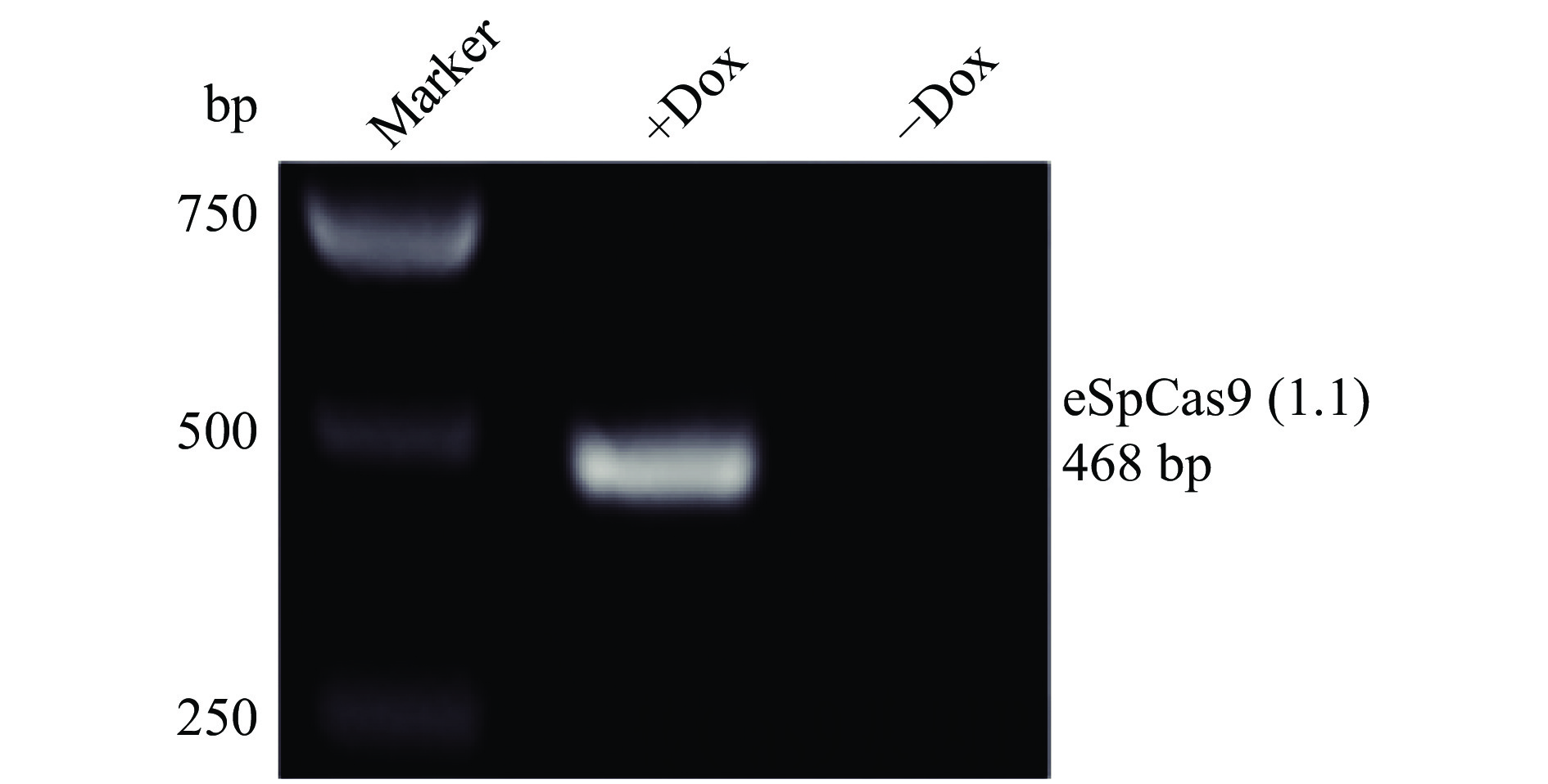
      方法  分离培养猪胎儿成纤维细胞(PFF),进行慢病毒载体PCW-eSpCas9(1.1)侵染并通过1 μg/mL嘌呤霉素筛选及强力霉素(Dox)诱导;改造pLV-sgRNA载体,进行293FT细胞转染验证;构建含Sohlh1基因目标靶点的pLV-sgRNA-2A-GFP特异性载体,进行慢病毒包装检测;利用包装病毒侵染稳转PCW-eSpCas9(1.1)的PFF细胞,3 μg/mL灭稻瘟菌素进行筛选,随后添加Dox诱导进行表达分析和敲除效率检测。
      结果  建立了受Dox调控可诱导eSpCas9(1.1)蛋白表达的PFF细胞系,不添加Dox,eSpCas9(1.1)蛋白不表达;293FT细胞表达绿色荧光,表明pLV-sgRNA-2A-GFP载体改造成功。3、4、6号Sohlh1基因靶点具有敲除活性,利用最优的2个靶点构建了pLV-sgRNA-2A-GFP特异性载体,荧光表达显示载体慢病毒包装成功。构建稳转PCW-eSpCas9(1.1)和pLV-sgRNA-2A-GFP的PFF,经Dox诱导72 h后,Sohlh1基因的敲除效率为85%。
      结论  利用Tet-on系统和CRISPR/Cas9系统成功构建了可诱导型猪Sohlh1基因敲除细胞系,为研究Sohlh1基因的功能以及制备条件性敲除Sohlh1基因去除生殖细胞的模型猪奠定了基础。

       

      Abstract:
      Objective  The Tet-on system was combined with the CRISPR/Cas9 system to establish a pig cell line with inducible Sohlh1 gene knockout.
      Method  Porcine fetal fibroblast (PFF) was isolated and cultured for infection with lentiviral vector PCW-eSpCas9(1.1), screened by 1 μg/mL purinomycin and induced by doxycycline (Dox). The pLV-sgRNA vector was modified and transfected with 293FT cells for validation. The pLV-sgRNA-2A-GFP specific vector containing Sohlh1 gene target was constructed for lentivirus packaging detection. PCW-eSpCas9(1.1) PFF cell was transfected by package virus infection and screened by 3 μg/mL blasticidin, followed by Dox induction for expression analysis and knockout efficiency detection.
      Result  PFF cell line, which was regulated by Dox to induce eSpCas9 (1.1) protein expression, was established. Without Dox addition, eSpCas9 (1.1) protein expression was not observed. Green fluorescence was expressed in 293FT cells, indicating the successful transformation of pLV-sgRNA-2A-GFP vector. The No. 3, 4 and 6 Sohlh1 gene targets had knockout activities. The pLV-sgRNA-2A-GFP specific vector was constructed with the two optimal targets, and the fluorescence expression showed that the vector lentivirus was successfully packaged. The PFF cell of stable PCW-eSpCas9(1.1) and pLV-sgRNA-2A-GFP transformation was constructed. After 72 hours of Dox induction, the knockout efficiency of Sohlh1 gene was 85%.
      Conclusion  The pig cell line with inducible Sohlh1 gene knockout is successfully constructed using the Tet-on system and CRISPR/Cas9 system, which lays a foundation for studying the function of Sohlh1 gene and preparing the model pig with conditional Sohlh1 gene knockout to remove germ cells.

       

    /

    返回文章
    返回