四川鲟源海豚链球菌的毒力基因谱及分子分型

    Virulence gene profiles and molecular typing of Streptococcus iniae isolated from sturgeon in Sichuan

    • 摘要:
      目的  明确四川鲟源海豚链球菌Streptococcus iniae的毒力谱及分子流行病学特点,为鲟海豚链球菌病的防控提供参考。
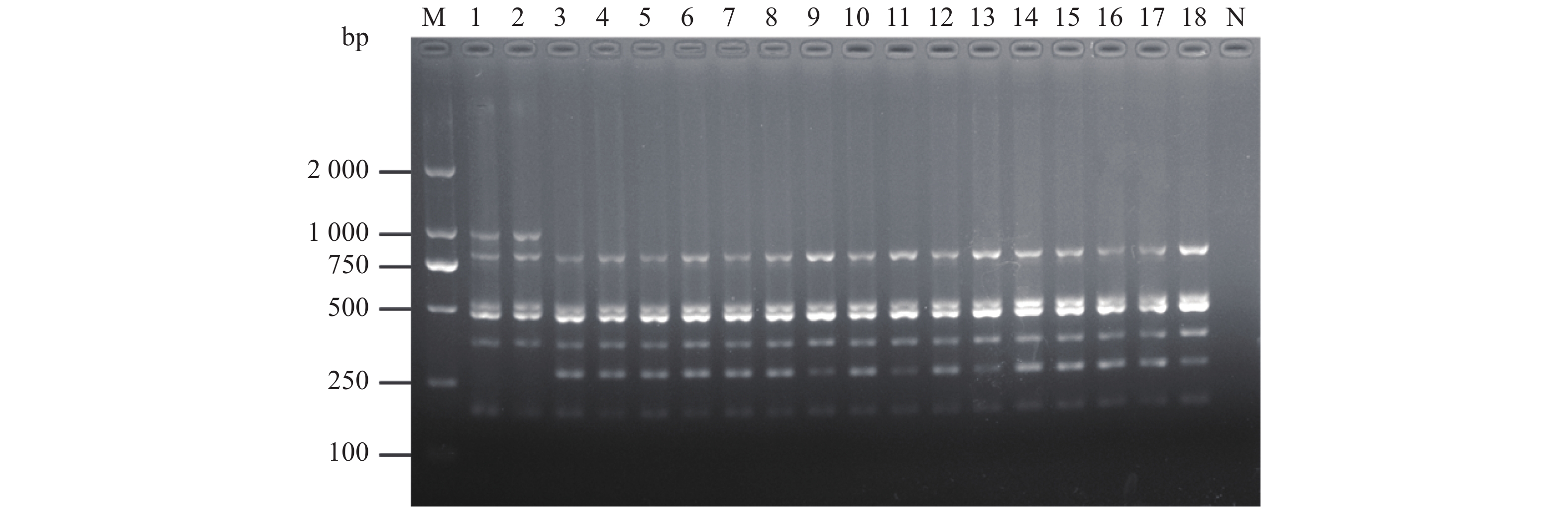
      方法  对四川地区17株鲟源海豚链球菌以及海豚链球菌ATCC29178进行毒力基因多重PCR检测, 并通过随机扩增多态性DNA(RAPD)和重复序列PCR(REP-PCR)分析进行分子分型。
      结果  所有菌株的7个主要毒力基因pgmscpIsimAcpsDsagApdicfi均为阳性,部分菌株的simA基因发生了变异。基于RAPD分析,18株菌分为Ⅰ、Ⅱ2个基因型;基于REP-PCR分析,18株菌分为A、B、C、D 4个基因型。
      结论  四川地区17株鲟源海豚链球菌分离株均为强毒株,毒力谱为pgm/scpI/simA/cpsD/sagA/pdi/cfi,并且同时存在多种基因型的菌株,其中D型为优势流行型。

       

      Abstract:
      Objective  To clarify the virulence gene profiles and molecular typing of Streptococcus iniae from sturgeon in Sichuan, and provide a reference for prevention and control of S. iniae infection in sturgeon.
      Method  Virulence genes of 17 S. iniae strains isolated from sturgeon in Sichuan area and S. iniae ATCC29178 were detected by multi-PCR. Molecular typing of S. iniae was performed using the random amplified polymorphic DNA (RAPD) and repetitive element polymerase chain reaction (REP-PCR) methods.
      Result  All seven major virulence genes includingpgm , scpI , simA , cpsD ,sagA ,pdi and cfi were positive in all strains, and simA gene of partial isolates was mutated. Eighteen strains were divided intoⅠandⅡ types based on RAPD analysis, and four types of A, B, C and D by REP-PCR analysis.
      Conclusion  All 17 S. iniae isolates from sturgeon in Sichuan are virulent strains, and the virulence gene prolife is pgm/scpI/simA/cpsD/sagA/pdi/cfi. There are many genotypes of S. iniae in Sichuan, of which type D is the main epidemic type.

       

    /

    返回文章
    返回