Abstract:
Objective To explore the intraspecific genetic structure and genetic diversity of “Candidatus Liberibacter asiaticus” (CLas) in different regions of Guangdong Province, and evaluate the feasibility of using multiple loci in studying genetic diversity of CLas.
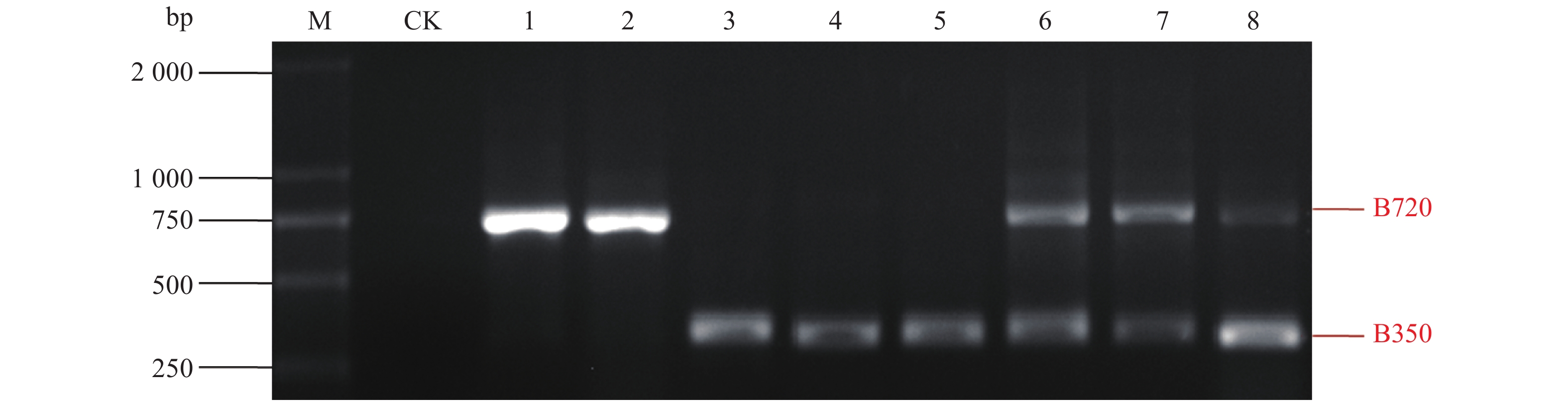
Method Six polymorphic gene loci, including three phage regions (SC1, SC2 and PJXGC), transposon region (CLIBASIA_05620 − CLIBASIA_05625) and short tandem repeat (STR) genes, STR1 (CLIBASIA_03080) and STR12 (CLIBASIA_01215), were used to evaluate genetic diversity of 176 CLas samples from 10 cities in Guangdong Province.
Result Based on the prophage types, the CLas isolates were classified into six groups, among which the strains with Type II prophage were predominate, accounting for 85.23% of the population. Four types of isolates were identified based on transposon sites, and the Clas strains containing the B350 fragment (non-MCLas-A type) were the dominant group, accounting for 76.70% of the population. Based on the two STR loci, nine and ten band types were identified respectively, and the isolates with three CAGT tandem repeats at the STR1 locus were predominate accounting for 56.82% of the population. The distribution of polymorphic bands at the STR12 locus was scattered, and no predominate band type was identified. Cluster analysis showed that CLas populations from Zhanjiang, Maoming and Shenzhen were different from populations of other regions, while the CLas populations collected from Qingyuan and Meizhou were similar.
Conclusion Cluster results based on individual locus and based on all six loci are different, indicating the limitation of using single gene locus to analyze the genetic structure of CLas population.