磁性纳米颗粒负载质粒DNA的研究

    Study on magnetic nanoparticle loading plasmid DNA

    • 摘要:
      目的  研究磁性纳米颗粒(MNP)负载质粒 DNA形成的纳米载体−基因复合物的生物物理学特性、负载形态与负载机理,为基于磁性纳米载体定向编辑技术的应用奠定基础。
      方法  以MNP作为基因载体,与质粒 DNA pRGEB32制备纳米载体−基因复合物MNP−pRGEB32,分析MNP负载、保护pRGEB32的能力,并对其粒度分布、Zeta电位、结合形态进行研究。
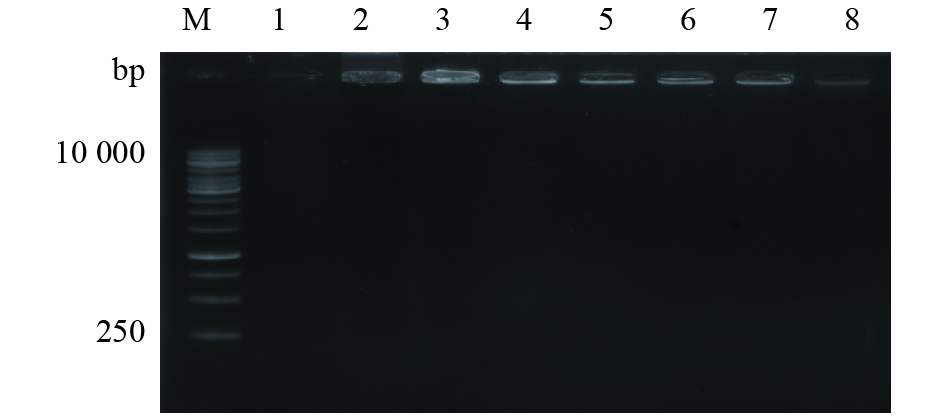
      结果  MNP通过静电作用压缩、吸附、聚集pRGEB32,形成纳米载体−基因复合物。MNP能有效负载并保护pRGEB32。
      结论  MNP可作为一种理想的基因转移载体。

       

      Abstract:
      Objective  To study biophysical property, loading morphology and loading mechanism of nanocarrier-gene complex prepared by magnetic nanoparticle (MNP) loading plasmind DNA, and lay a foundation for application of oriented editing technology based on magnetic nano carrier.
      Method  MNP was used as gene carrier to prepare nanocarrier-gene complex MNP-pRGEB32 with plasmid DNA pRGEB32. The abilities of MNP loading and protecting pRGEB32 were analyzed. The particle size distribution, Zeta potential and loading morphology of MNP-pRGEB32 were investigated.
      Result  MNP compressed, adsorbed and aggregated pRGEB32 through electrostatic interaction to form nanocarrier-gene complex. MNP could effectively load and protect pRGEB32.
      Conclusion  MNP can be used as an ideal gene transfer carrier.

       

    /

    返回文章
    返回