固态发酵生产α−酮戊二酸及其对小鼠生长、肠道结构和免疫机能的影响

    Effects of α-ketoglutaric acid produced by solid fermentation on mouse growth, intestinal structure and immune function

    • 摘要:
      目的  筛选固态发酵制备α−酮戊二酸的菌株,研究发酵产物对动物生长、肠道结构和免疫机能的影响。
      方法  对9种菌株(包括乳酸菌、酵母菌和曲霉菌Aspergillus等)进行发酵,检测发酵物中α−酮戊二酸含量。发酵过程中添加琥珀酸,研究其对α−酮戊二酸产出率的影响。随后,选用16只4周龄C57/BL小鼠,随机分为2组,分别在普通日粮中添加质量分数为5%的普通发酵物和5%的富含α−酮戊二酸发酵物饲喂4周,分析动物采食和生长、肠道结构以及单核−巨噬细胞的吞噬功能和血象。
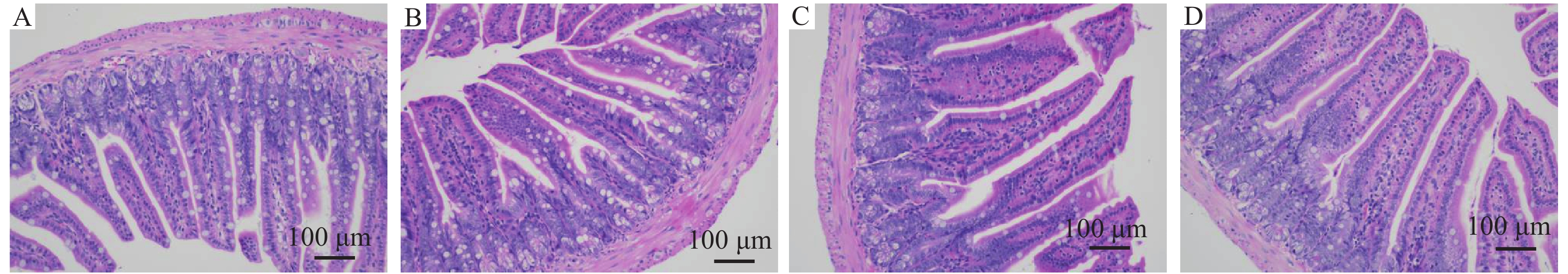
      结果  酵母菌固态发酵产生了微量的α−酮戊二酸,枯草芽孢杆菌Bacillus subtilis产生了约60 μg/g的α−酮戊二酸,其余菌株均未检测到α−酮戊二酸。枯草芽孢杆菌固态发酵时添加琥珀酸可促进α−酮戊二酸累积,最高产出率达到0.3%。添加质量分数为5%的靶向α−酮戊二酸发酵产物稍微降低了小鼠体质量和体质量增加(P>0.05),显著增加小鼠的比目鱼肌质量(P<0.05),显著降低小鼠的褐色脂肪质量(P<0.05)。发酵产物对小鼠回肠和空肠的绒毛长度和隐窝深度无显著影响。血象和免疫学指标表明,富含α−酮戊二酸发酵产物能显著降低中性粒细胞百分比,提高淋巴细胞百分比,增加红细胞血红蛋白质量浓度。发酵产物显著增加小鼠单核−巨噬细胞的吞噬功能(P<0.05)。
      结论  枯草芽孢杆菌在固态发酵过程中添加琥珀酸可使α−酮戊二酸累积,日粮添加富含α−酮戊二酸发酵物能显著增加小鼠肌肉质量,降低脂肪质量,并能显著提高小鼠的免疫机能。

       

      Abstract:
      Objective  To screen strains for producing α-ketoglutaric acid by solid fermentation, and study the effects of fermentation products on animal growth, intestinal structure and immune function.
      Method  Nine strains (including lactic acid bacteria, yeast and Aspergillus) were fermented and α-ketoglutaric acid content in the fermentation products was detected. Succinic acid was added during the fermentation to study its effect on the production rate of α-ketoglutaric acid. Subsequently, sixteen 4-week-old C57/BL mice were randomly divided into two groups, 5% normal fermented material or 5% α-ketoglutarate-rich fermented material was added to the common diet for four weeks. Animal feeding and growth, intestinal structure, and phagocytosis and blood picture of monocyte-macrophages were analyzed.
      Result  The solid fermentation of yeast produced a trace amount of α-ketoglutaric acid, Bacillus subtilis produced about 60 μg/g α-ketoglutaric acid, and α-ketoglutaric acid was not detected using other strains. The addition of succinic acid to the solid fermentation of Bacillus subtilis promoted the accumulation of α-ketoglutaric acid with the maximum production rate of 0.3%. Dietary supplementation of 5% targeted α-ketoglutarate fermentation product slightly reduced body weight and body weight gain of mice(P>0.05), significantly increased the soleus muscle weight of mice (P<0.05), and significantly reduced brown fat weight in mice (P<0.05). The fermentation product had no significant effect on the villus length and crypt depth of mouse ileum and jejunum. Blood and immunological indicators revealed thatα-ketoglutarate-rich fermentation product significantly reduced the percentage of neutrophils, increased the percentage of lymphocyte, and increased the content of red blood cell hemoglobin. Moreover, the fermentation product also significantly increased the phagocytic function of mouse monocyte-macrophages (P<0.05).
      Conclusion  The addition of succinic acid can promote accumulation of α-ketoglutaric acid in the solid fermentation process of Bacillus subtilis. Adding α-ketoglutarate-rich fermentation in the diet can significantly increase the muscle weight, decrease the fat weight of mice, and significantly improve the immune function of mice.

       

    /

    返回文章
    返回