噬菌体裂解酶Cp51在重组乳酸菌中的表达及对A型产气荚膜梭菌的抗菌活性

    Expression of phage lysin Cp51 in recombinant Lactococcus lactis and its antibacterial activity against Clostridium perfringens type A

    • 摘要:
      目的  构建A型产气荚膜梭菌Clostridium perfringens裂解酶重组表达乳酸菌Lactococcus lactis,并检测重组菌及其表达产物的抗菌效果。
      方法  全基因合成噬菌体裂解酶Cp51基因,构建PNZ8148-Cp51原核表达重组载体,电转化至乳酸菌NZ9000,经乳链菌肽诱导表达可溶性Cp51蛋白;用比浊法检测表达蛋白对A型产气荚膜梭菌的抗菌活性;利用细菌液混合培养检测重组菌对A型产气荚膜梭菌增殖的抑制作用。
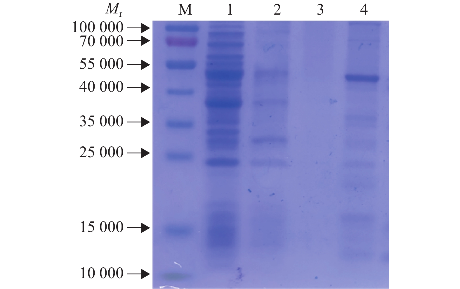
      结果  噬菌体裂解酶Cp51在乳酸菌中成功表达,为1 268 bp;质量浓度1 μg·mL−1以上的重组蛋白对A型产气荚膜梭菌具有高效抗菌活性;重组乳酸菌对A型产气荚膜梭菌增殖有一定的抑制效果,混合培养后使产气荚膜梭菌活菌数从9×109 CFU·mL−1下降到约9×108 CFU·mL−1
      结论  A型产气荚膜梭菌噬菌体裂解酶重组乳酸菌构建成功,为后续优化表达和临床应用研究奠定了基础。

       

      Abstract:
      Objective  To construct a recombinant Lactococcus lactis expression system of phage lysine Cp51, and study its antibacterial activity against Clostridium perfringensin type A invitro.
      Method  Phage lysin Cp51 gene was inserted into the prokaryotic expression vector PNZ8148, and then the recombinant vector PNZ8148-Cp51 was constructed and transformed into L. lactis NZ9000. Nisin was used to induce expression of soluble protein Cp51. The antibacterial activity of the recombinant protein against C. perfringens type A was detected by kinetic turbidimetric assay in vitro. The inhibitory effect of recombinant L. lactis on the proliferation of C. perfringens type A was tested by mixed cultivation.
      Result  The recombinant phage lysin Cp51 was successfully expressed in L. lactis and the Cp51 gene was 1 268 bp in length. The recombinant protein had strong antibacterial activity against C. perfringens type A at the concentration above 1 μg·mL−1 in vitro. The recombinant L. lactis also had certain inhibitory effect on C. perfringens type A with the number of C. perfringens decreased from 9×109 CFU·mL−1 to 9×108 CFU·mL−1 after mixed cultivation.
      Conclusion  Recombinant L. lactis expressing phage lysin Cp51 which against C. perfringens type A has been successfully constructed, which provides a basis for further optimization of expression and clinical application.

       

    /

    返回文章
    返回