LPAR3基因克隆及其在子宫内膜细胞的表达

    Cloning of porcine LPAR3 gene and its expression in endometrial cells

    • 摘要:
      目的  获得猪LPAR3基因完整mRNA及基因结构,研究其启动子活性;探究LPAR3基因在子宫内膜的转录调控及可能影响母猪产仔的机制。
      方法  应用5'RACE和3'RACE技术获取LPAR3基因完整mRNA序列;预测5'调控区潜在的启动子转录因子结合位点及CpG岛,构建不同长度的启动子双荧光素酶报告基因重组载体,与pRL-TK质粒共同转染至猪子宫内膜细胞,检测启动子活性;应用RT-qPCR比较LPAR3基因在妊娠第12天的二花脸猪和长大二元猪子宫内膜的相对表达量;应用亚硫酸氢钠修饰后测序比较LPAR3基因在妊娠第12天的二花脸猪和长大二元猪子宫内膜的甲基化状态。
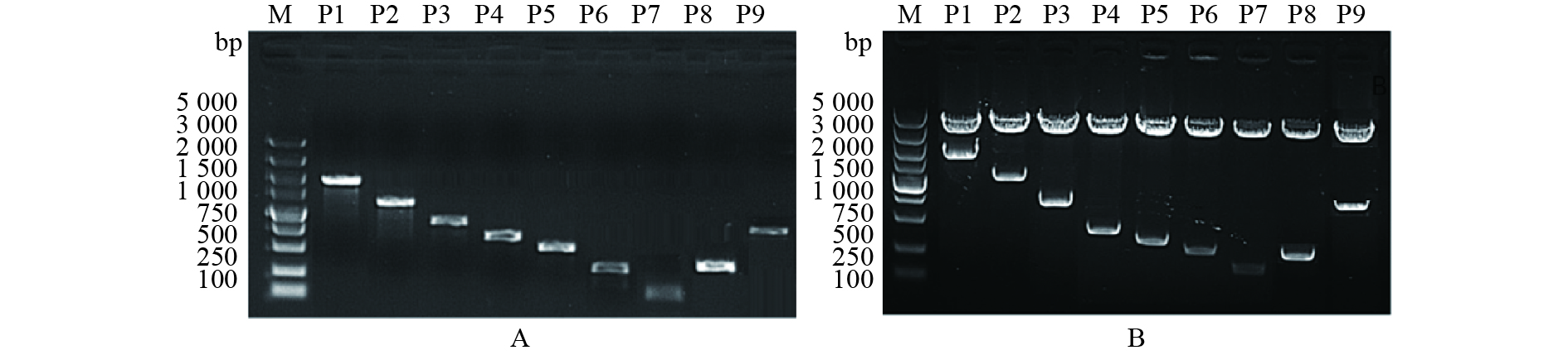
      结果  猪LPAR3 mRNA全长为2 127 bp,其中5'UTR和3'UTR的长度分别为202和860 bp,CDS区为1 065 bp。克隆获得包括LPAR3转录起始位点上游3 080 bp (–2 430/+650 bp)的5'调控序列,分析预测显示该调控区不存在TATA box,存在GC元件、CPBP及糖皮质激素受体IR3等调控因子结合位点,且在–190/–84和–44/+651 bp处存在2个潜在CpG岛。成功构建9个不同长度的5'缺失报告重组载体并转染猪子宫内膜细胞。双荧光素酶活性检测结果显示,启动子P4(+454/+80 bp)的转录活性最高,其次是P6(–123/+80 bp)。RT-qPCR结果显示,妊娠第12天二花脸猪LPAR3基因在子宫内膜的表达量高于在其他组织的表达量,且极显著高于在妊娠第12天长大二元猪子宫内膜的表达量,LPAR3在2个猪种子宫内膜均处于低甲基化状态且差异不显著。
      结论  猪LPAR3mRNA全长为2 127 bp,妊娠第12天LAPR3基因在二花脸猪子宫内膜表达高于其在长大二元猪子宫内膜的表达,显示LPAR3可能参与了猪早期妊娠并影响产仔数。

       

      Abstract:
      Objective  To obtain the complete mRNA sequence and structure of porcine LPAR3gene, study the gene promoter activity, and explore the transcriptional regulation of LPAR3 gene in endometrium and the mechanisms which may affect sow farrowing.
      Method  The 5'RACE and 3'RACE techniques were used to obtain the complete LPAR3mRNA sequence. The potential promoter transcription factor binding sites and CpG islands in the 5' regulatory region were predicted. Recombinant vectors with different length of promoters and dual-luciferase reporter gene were constructed, then were transfected with pRL-TK plasmid into pig endometrial cells, and the promoter activities were detected. RT-qPCR was used to compare the relative expression of LPAR3 gene in Erhualian(ER) and Landrace×Large White (LL) pigs on the 12th day of gestation. Sodium bisulfite modified sequencing was used to compare the methylation status of LPAR3 gene in endometrial tissues of ER and LL pigs on the 12th day of gestation.
      Result  The full length of pigLPAR3 mRNA was 2 127 bp, the 5'UTR and 3'UTR were 202 and 860 bp respectively, and the CDS region was 1 065 bp. The 5' regulatory sequence, including 3 080 bp (–2 430/+650 bp) upstream of the LPAR3gene, was cloned. The online prediction results of the 5' regulatory region showed that there was no TATA box in the LPAR3promoter, but there were GC element and binding sites for CPBP and other regulatory factors. Two potential CpG islands were found at –190/–84 and –44/+651 bp. Nine recombinant vectors with 5' deletions of the promoter were constructed and transfected into pig endometrium cells. The dual-luciferase assay showed that the activity of promoter P4 (+454/+80 bp) was the highest, followed by P6 (–123/+80 bp). RT-qPCR results showed that the expression of LPAR3 gene in the endometrium of ER pigs on the 12th day of gestation was higher than that in other tissues, and it was extremely significantly higher than that in the endometrium of LL pigs on the 12th day of gestation. The methylation status of LPAR3 gene was low in the endometrium of two breeds and had no significant difference between two breeds.
      Conclusion  The full length of pigLPAR3mRNA is 2 127 bp. The endometrial expression level of LAPR3 gene in ER pigs is higher than that in LL pigs on the 12th day of gestation, indicating that LPAR3 gene may be involved in early gestation of pigs and affects litter size.

       

    /

    返回文章
    返回