1株黑斑蛙源蛙病毒的分离鉴定及系统进化分析

    Isolation, identification and phylogenetic analysis of a ranavirus isolated from Rana nigromaculata

    • 摘要:
      目的  为探究四川某养殖场黑斑蛙Rana nigromaculata蝌蚪爆发传染病病因。
      方法  通过对患病蝌蚪进行病理学检查与病毒分离,并结合人工感染试验、电镜观察、PCR检测和系统发育分析对分离的病原进行鉴定。
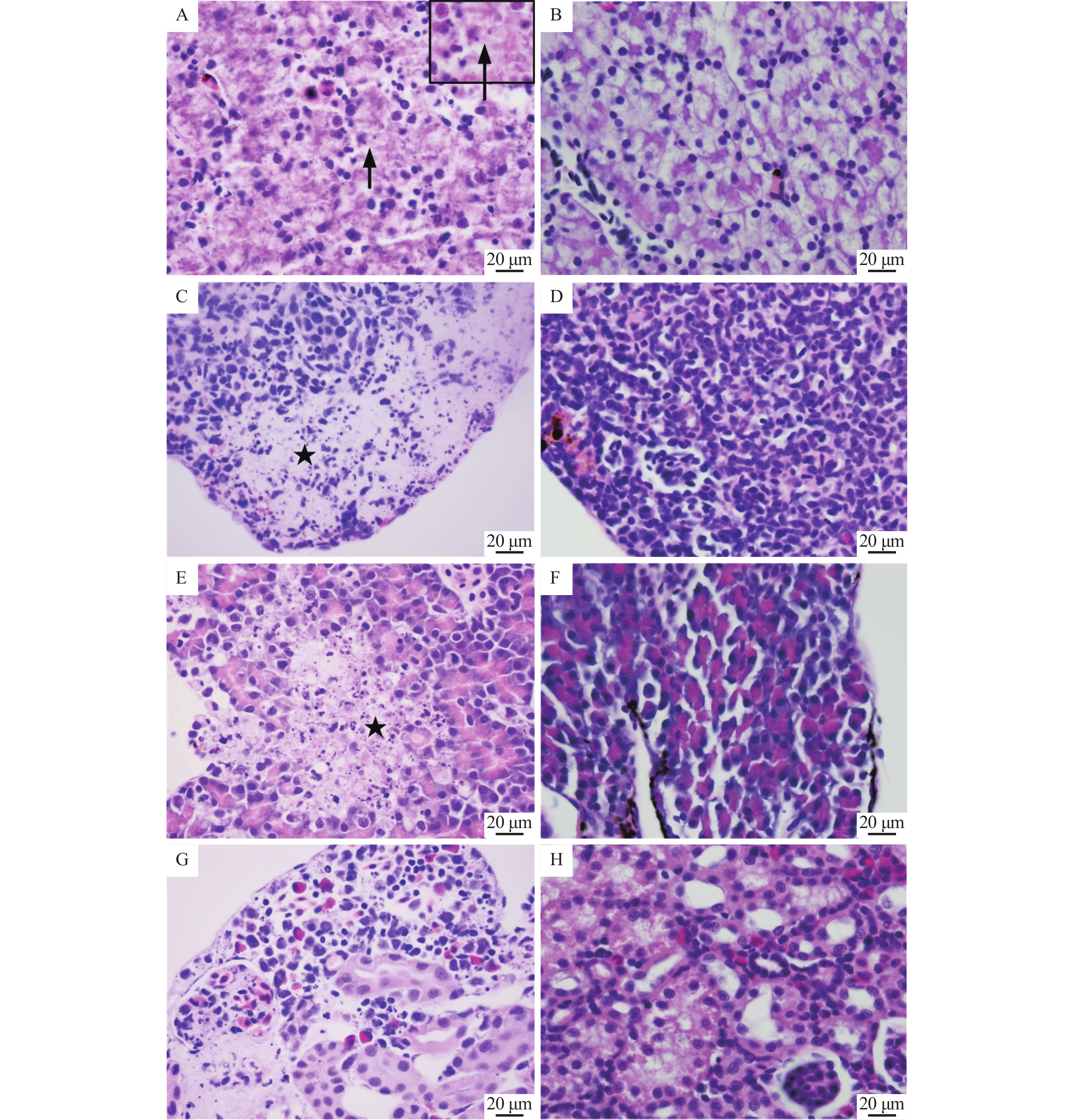
      结果  黑斑蛙患病蝌蚪主要临床特征为体表出血、腹部肿胀、腹腔内淡黄色腹水;组织病理学上,患病蝌蚪肝、肾、脾与胰腺等组织器官受损,出现明显的变性与坏死病灶,且在一些病变细胞胞浆内见嗜碱性包涵体。患病蝌蚪组织匀浆接种鲤鱼上皮瘤(EPC)细胞,25 ℃培养4 d后出现明显细胞病变效应(CPE),TCID50为108 mL–1。用病毒液进行人工感染试验,感病蝌蚪表现出与自然患病蝌蚪相似的症状,死亡率达到80%,证实分离病毒的病原性。电镜观察发现,病毒颗粒为正六边形,有囊膜,对角线直径(135±8) nm,在胞质中呈晶格状排列或游离状。针对蛙病毒MCP基因的PCR检测显示,自然患病蝌蚪、饲养水源以及分离病毒均为阳性,基于MCP全序列的遗传进化分析发现,分离病毒与蛙病毒属病毒的相似性在99%以上,且与蛙病毒属FV3病毒类群聚为同一分支。
      结论  证实导致此次黑斑蛙蝌蚪大量死亡的病原为蛙病毒属病毒,将其命名为黑斑蛙蛙病毒(Rana nigromaculata ranavirus,RNRV)。

       

      Abstract:
      Objective  To explore the etiology of a serious infectious disease occured in Rana nigromaculata tadpoles in a farm of Sichuan Province.
      Method  Pathological examination and virus isolation were carried out for the diseased tadpoles of R. nigromaculata. The isolated pathogen was identified by artificial infection test, transmission electron microscopy, PCR detection and phylogenetic analysis.
      Result  External clinical signs included hemorrhage on body surface and swollen abdomen with yellow ascites. Based on histopathological observation, we found that liver, spleen, kidney, pancreas and other organs had damages with obvious degeneration and necrosis focus, and basophilic inclusions appeared in the cytoplasm of some pathological cells. The tissue homogenates of diseased tadpoles were inoculated into epithelioma papulosum cyprini (EPC) cells under 25 ℃ and caused typical cytopathic effect (CPE) after four days with the TCID50 of 108 mL–1. In the artificial infection test of virus fluid, the tadpoles showed the symptoms similar to those observed in naturally infective tadpoles and the mortality reached 80%, which suggested that the isolated virus was the determined pathogen of this disease. Transmission electron microscopic observation showed that the virus was regular hexagon with capsule, the diagonal diameter was (135±8) nm, and virus particles arrayed in crystalline or freely in the cytoplasm. PCR examination of the MCP gene showed positive results for samples of diseased tadpoles, aquaculture water source and isolated virus. Phylogenetic analysis based on MCP gene sequences indicated that the sequence of isolated virus had above 99% similarity to ranavirus, and the isolated virus belonged to the FV3-like virus group.
      Conclusion  This study confirmed that ranavirus was the causative agent of this outbreak, and the virus is named as Rana nigromaculata ranavirus (RNRV).

       

    /

    返回文章
    返回