斑点叉尾鮰暴发性出血溃疡症的病理学研究

    Pathological study on fulminant hemorrhagic ulcer syndrome of Ietalurus punetaus

    • 摘要:
      目的  探究两起斑点叉尾鮰 Ietalurus punetaus暴发性体表出血溃疡症的发病病因和病理特征。
      方法  利用湿片法对鳃组织和体表黏液进行压片,观察寄生虫寄生情况。从发病鱼的肝脏、脾脏和肾脏中分离病原菌,检测细菌感染情况;利用PCR法检测患病斑点叉尾鮰的肝、脾、肾混合组织匀浆中斑点叉尾鮰病毒 (Channel catfish virus, CCV)的携带情况。运用组织病理学方法观察病鱼的病理损伤特点,综合分析并推测该病的致病原因。
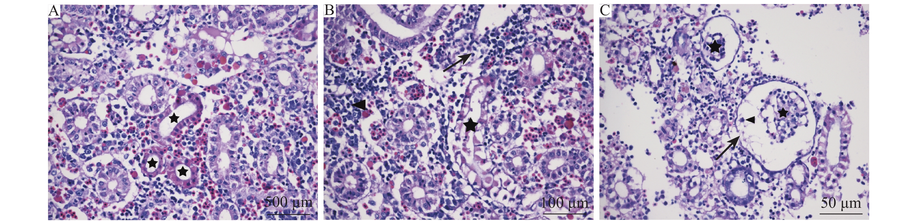
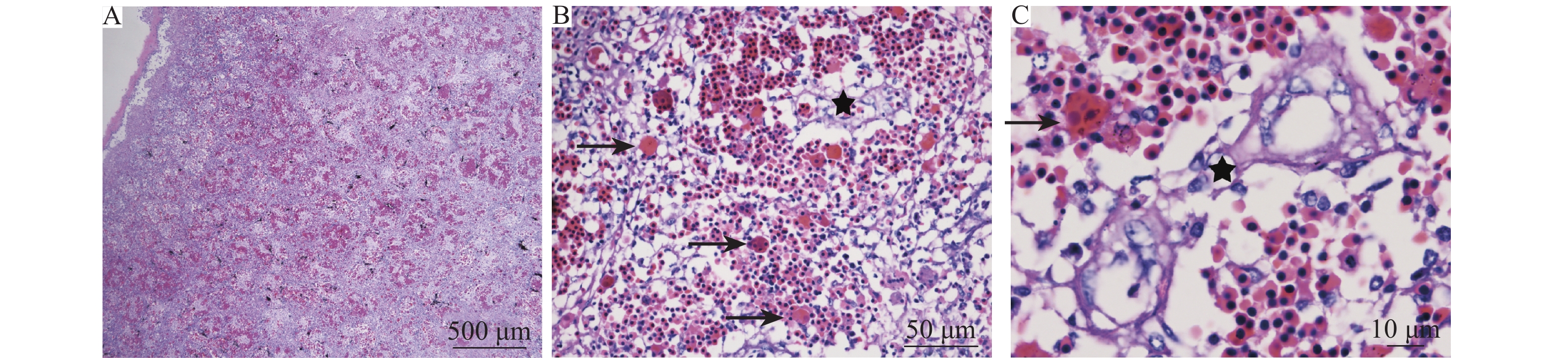
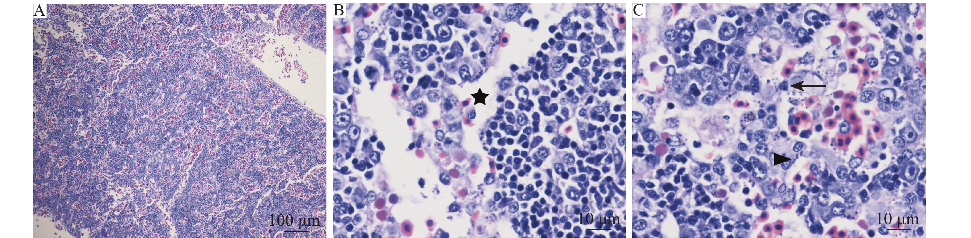
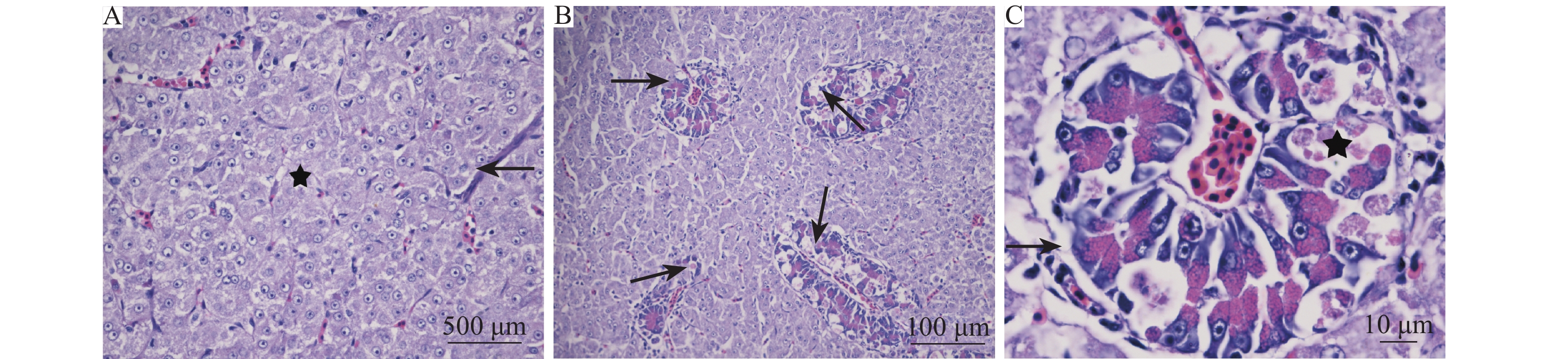
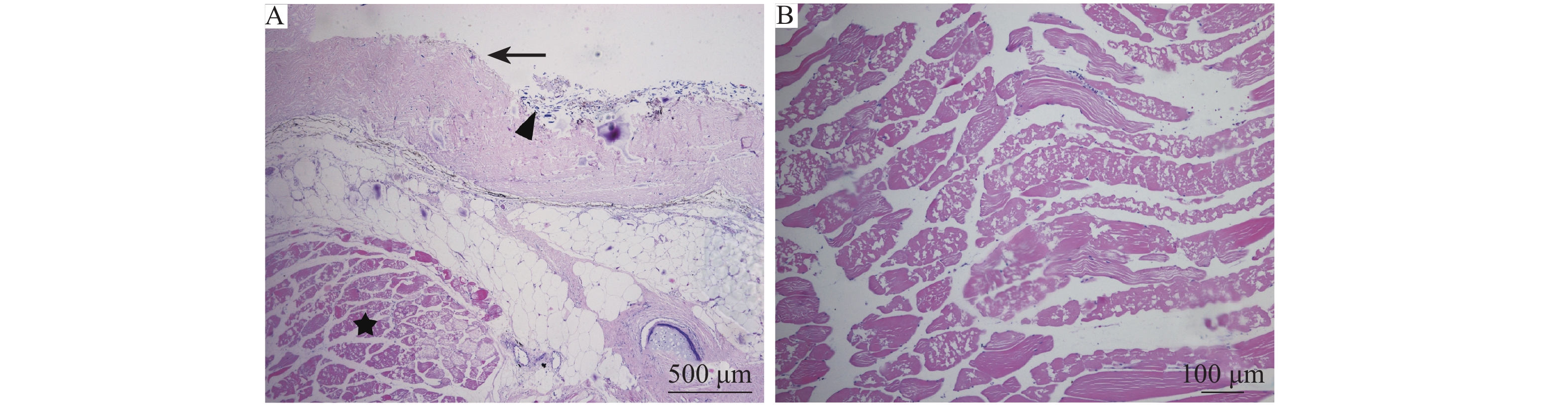
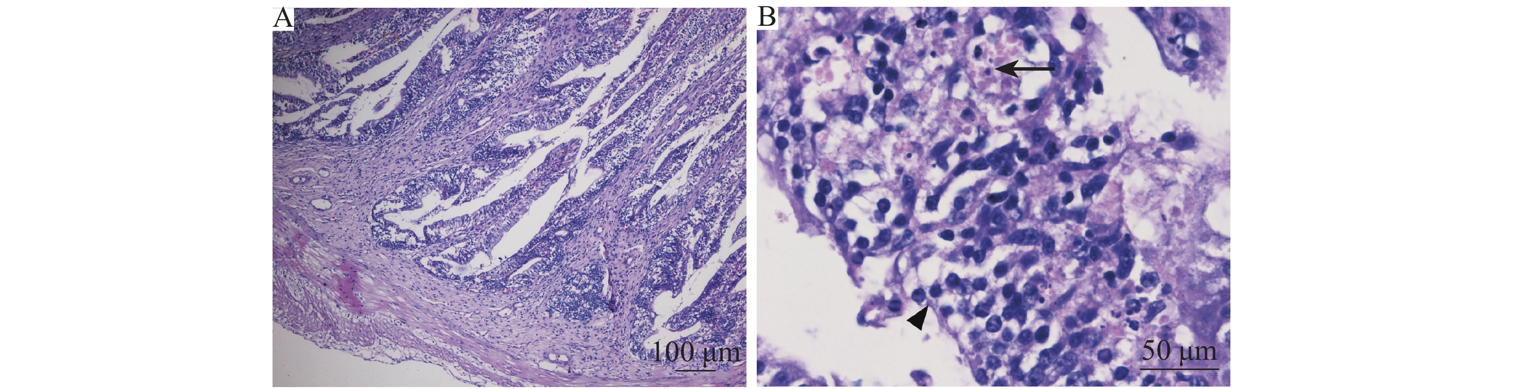
      结果  该出血溃疡症的靶器官主要为脾脏、肾脏、肝胰脏、肠道以及皮肤肌肉。主要表现为严重的血管反应,实质细胞可见肿胀、变性、坏死;而胃、脑和心脏病变较轻,仅有轻微的炎症;鳃丝、眼球和鳔等未见明显病变。所有的患病个体均出现中度至重度出血性坏死性脾炎、中度肾炎、轻度至中度坏死性肝胰腺炎和肠炎。患病斑点叉尾鮰体内未检测到寄生虫、细菌以及CCV。
      结论  综合病理学、细菌学和病毒学检测结果,推测此次斑点叉尾鮰暴发性疾病由某种非CCV的病毒感染所致,温度应激可能是引发该病的条件诱因。

       

      Abstract:
      Objective  To investigate the etiology and pathologic features of two cases of hemorrhagic ulcer happened on channel catfish (Ietalurus punetaus).
      Method  The gill tissue and body mucus were compressed by wet film method to detect potential parasite. Pathogen isolation was conducted using liver, spleen and kidney of diseased fish to detect potential bacterial infection. The homogenate of liver, spleen and kidney from diseased fish was detected for the channel catfish virus (CCV) by PCR. The pathologic features of diseased fish were observed by histopathology, and the causes of this disease were analyzed comprehensively.
      Result  The spleen, kidney, hepatopancreas, intestine, skin and muscle were the main target organs of hemorrhagic ulcer. The main syndrome was severe vascular response with degeneration and necrosis of the parenchymal cells. Stomach, brain and heart had minor damages with slight inflammation, and gill filaments, eyeballs and swim bladder did not have obvious pathological changes. The diseased individuals displayed moderate to severe hemorrhagic necrotic spleen inflammation, moderate nephritis, and mild to moderate necrotic hepatopancreatitis and necrotic enteritis. No parasite, bacteria, or CCV was detected in diseased catfish.
      Conclusion  Based on the results of pathological, bacteriological and virological examinations, it is inferred that the fulminant disease of catfish was caused by some non-CCV virus infection, and temperature stress may be the conditional incentive of this disease.

       

    /

    返回文章
    返回