A型产气荚膜梭菌噬菌体裂解酶Cp51的原核表达及活性检测

    Prokaryotic expression and activity detection of bacteriophage lysin Cp51 against Clostridium perfringens type A

    • 摘要:
      目的  原核表达A型产气荚膜梭菌噬菌体裂解酶Cp51并研究其对A型产气荚膜梭菌Clostridium perfringens的体外抗菌活性。
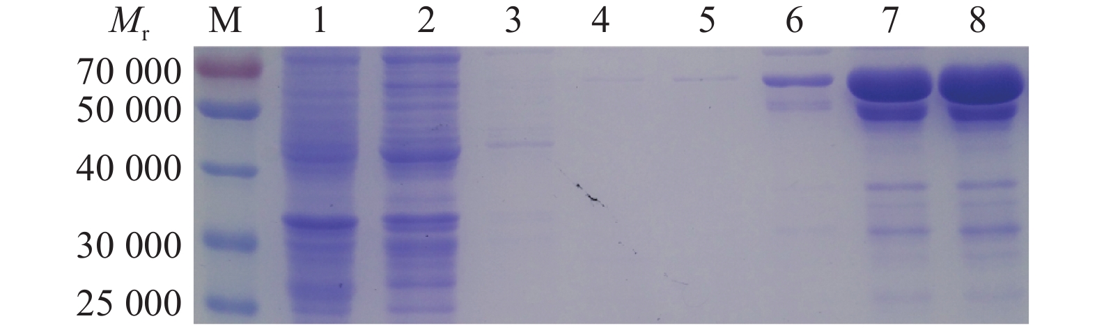
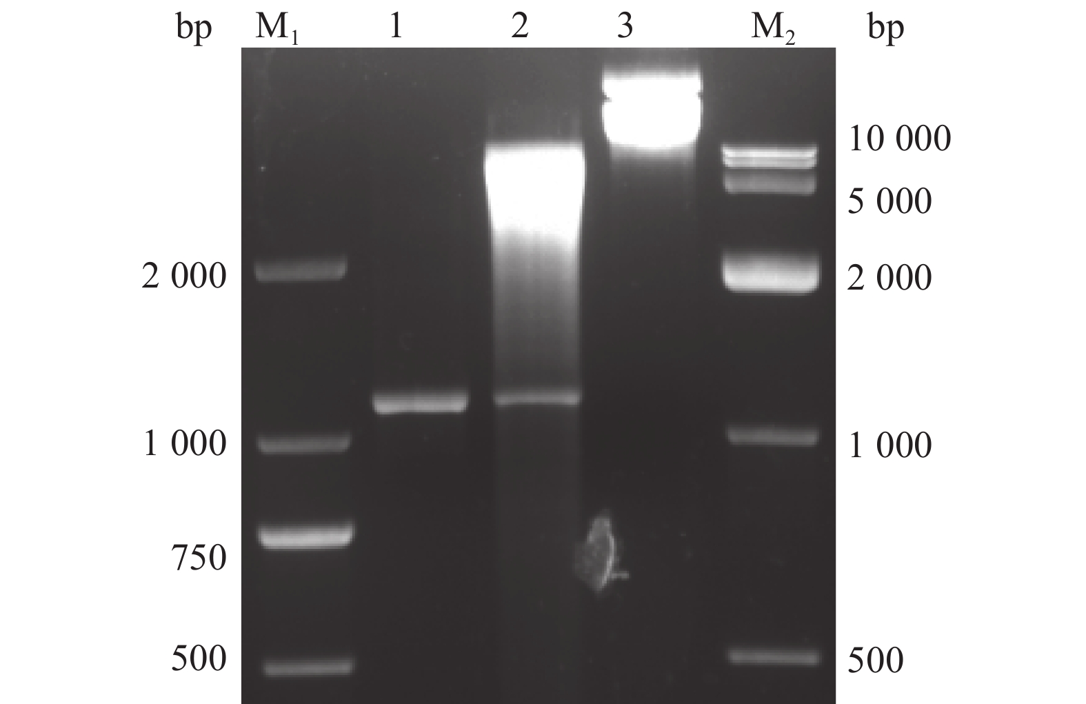
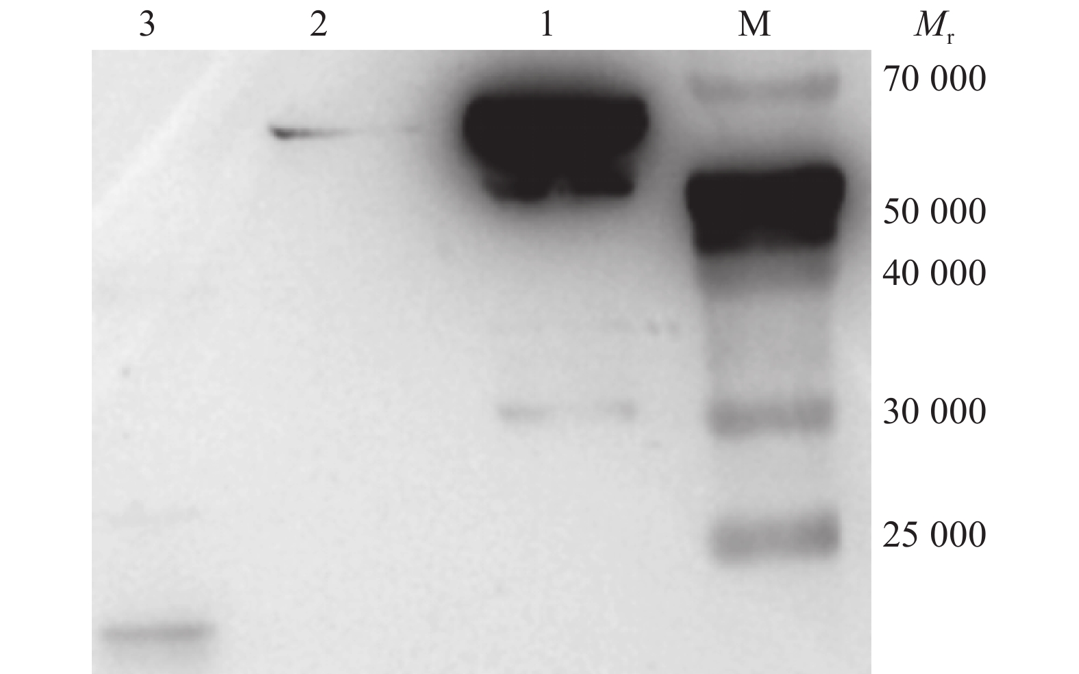
      方法  合成噬菌体裂解酶Cp51基因,并构建了pET-32a-Cp51原核表达载体,转化到大肠埃希菌Escherichia coli BL21(DE3),经终浓度为0.5 mmol·L–1的IPTG诱导以及镍柱纯化后,获得了可溶性的Cp51重组蛋白;用比浊法检测Cp51重组蛋白的杀菌活性。
      结果  噬菌体裂解酶Cp51重组蛋白能够有效降低7株A型产气荚膜梭菌的浊度,裂解酶质量浓度在5 μg·mL–1以上、作用30 min对A型产气荚膜梭菌的杀菌率可达到99.99%以上,而对其他种类细菌无杀菌效果。
      结论  A型产气荚膜梭菌噬菌体裂解酶Cp51重组蛋白对A型产气荚膜梭菌有较强的体外杀菌活性和特异性,研究结果为后续裂解酶Cp51的临床应用奠定基础。

       

      Abstract:
      Objective  To construct a prokaryotic expression system of type A Clostridium perfringens phage lysin Cp51, and study its antibacterial activity against C. Perfringens type A in vitro.
      Method  Bacteriophage lysin Cp51 gene was synthesized. The prokaryotic expression vector pET-32a-Cp51 was constructed and transformed into Escherichia coli BL21(DE3). After induction using 0.5 mmol·L–1 IPTG, the soluble recombinant protein Cp51 was successfully expressed, and was subsequently purified with Ni2+-NTA affinity chromatography. The antibacterial activity of the recombinant protein Cp51 was detected by kinetic turbidimetric assay.
      Result  The bacteria turbidities of seven strains of C. perfringens type A were effectively reduced by the recombinant protein Cp51. The bactericidal rate was above 99.99% in 30 min after treatment of recombinant protein Cp51 at the concentration of above 5 μg·mL–1. The Cp51 protein had no bactericidal effect against other types of bacteria.
      Conclusion  The recombinant protein of bacteriophage lysine Cp51 has strong bactericidal activity and specificity in vitro against type A C. perfringens, which could provide a basis for clinical application of Cp51 lysin.

       

    /

    返回文章
    返回