印度菜粕替代国产菜粕对奥尼罗非鱼生长、体组成及健康状况的影响

    Effects of China rapeseed meal replaced by Indian rapeseed meal on growth performance, body composition and health status of tilapia, Oreochromis niloticus×O.aureus

    • 摘要:
      目的 研究印度菜粕替代国产菜粕对奥尼罗非鱼生长性能、免疫力及肝脏结构的影响。
      方法 选取120尾初始体质量约为17.3 g的奥尼罗非鱼,随机分为4组; 设计4种等氮等能的实用饲料G0、G50、G75和G100,其中,G0为对照组(国产菜粕用量35%),G50、G75和G100为分别用印度菜粕替代G0饲料中50%、75%和100%的国产菜粕并添加质量分数为0.1%的二甲基-β-丙酸噻亭(DMPT)为诱食剂,饲养周期为43 d。
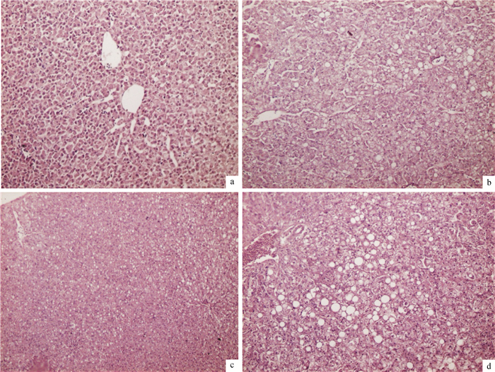
      结果 印度菜粕替代水平升高可导致罗非鱼的末均质量、增质量率、特定生长率降低,饲料系数升高,其中,G100组差异显著(P < 0.05)。全鱼体成分和血清常规生化指标差异不显著(P>0.05),血清丙二醛(MDA)、NO含量和超氧化物歧化酶(SOD)、碱性磷酸酶(AKP)活性差异也不显著(P>0.05),但G100组总抗氧化能力(T-AOC)和溶菌酶(LZM)含量比G0显著升高(P < 0.05)。随着印度菜粕替代水平的升高,奥尼罗非鱼肝细胞结构的损伤程度逐渐加大。
      结论 生长阶段在17~70 g的奥尼罗非鱼,饲料中印度菜粕替代国产菜粕的水平不宜超过75%。

       

      Abstract:
      Objective To evaluate the effects of China rapeseed meal replaced by Indian rapeseed meal on growth performance, immune and liver function of juvenile tilapia, O.niloticus×O.aureus.
      Method A total of 120 fish with about 17.3 g an initial body mass per fish were randomly divided into four groups. A feeding trial with four practical diets at equal nitrogen and caloric basis was conducted. Group G0 was the control group (the amount of China rapeseed meal was 35%), and G50, G75 and G100 were trial groups, for which Indian rapeseed meal replaced 50%, 75% and 100% of the China rapeseed meal in G0, respectively, and 0.1% feed attractant DMPT was added. The feeding cycle was 43 d.
      Result With the percentage of India rapeseed meal increasing, the final mass, mass gain rate and specific growth rate of tilapia decreased while the feed conversion ratio increased, with significant differences only detected for the G100 group (P < 0.05) compared to the G0 group. There was no significant difference (P>0.05) in body composition, serum biochemical indices, serum malondialdehyde (MDA) contents, nitric oxide (NO) contents, superoxide dismutase (SOD) activity or alkaline phosphatase (AKP) activity among different groups (P>0.05). However, the total antioxidant capacity (T-AOC) and lysozyme (LZM) contents of the G100 group were significantly higher than those of the G0 group (P < 0.05). The liver cell structure of tilapia was damaged more seriously with the percentage of Indian rapeseed meal increasing.
      Conclusion The percentage of India rapeseed meal replacing China rapeseed meal should not exceed 75% for tilapia, O.niloticus×O.aureus with 17-70 g body mass.

       

    /

    返回文章
    返回